
按我国修订标准分为M 2a和M 2b两种亚型。
M 2a型:骨髓中原粒细胞比例低于M1型,占大于30%至小于90%(NEC),其中II型原始细胞百分率增高,白血病细胞大小不一、形态多变,Auer小体较M1型易见。早幼粒细胞及以下阶段细胞比M1型增多,往往大于10%,单核细胞小于20%。一部分病例可伴嗜碱粒细胞增多;
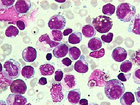
M 2b型:骨髓中原粒细胞和早幼粒细胞比例略高,但以形态异常的中性中幼粒细胞增生为主(大于30%),该类细胞胞核/胞质发育明显不平衡,细胞核常有凹陷,染色质细微、疏松,核仁明显,胞质量丰富,可见Auer小体。其中分化差的细胞胞质嗜碱,核凹陷处有透亮区,可见少量嗜中性颗粒。分化良好者含有较多细小而弥散分布的粉红色嗜中性颗粒。