实验室检查项目

当前位置: 首页 > 实验室检查项目 > 正文

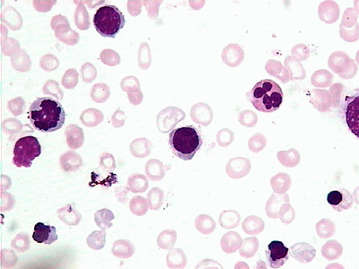
缺铁性贫血(iron deficiency anemia,IDA)

发布时间:2005-08-05    点击数:

1

[骨髓象]

(1)增生明显活跃。

(2)粒红比值减低。

(3)红细胞系明显增生,幼稚红细胞百分比常>0.30,以中、晚幼红细胞为主。幼红细胞体积小,边缘不规整。胞核小而致密,胞浆量少,因血红蛋白合成不足而着色偏碱。成熟红细胞体积小,中心淡染区扩大,严重时可呈环状红细胞。易见嗜多色性红细胞。

(4)粒细胞系相对减少。但各阶段比例及细胞形态大致正常。

(5)巨核细胞系正常

分享

推荐新闻

地址:北京海淀区花园北路49号    邮编:100191

联系电话:010-82266699     E-mail:bysy@bjmu.edu.cn

Copyright © 2022 北京大学第三医院    京ICP备05082115号-2