实验室检查项目

当前位置: 首页 > 实验室检查项目 > 正文

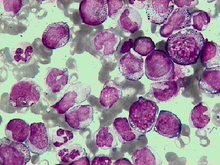
急性髓系白血病,M4型(AML,M4)

发布时间:2005-08-05    点击数:

1

根据粒、单核两系增生程度的不同可分为四种亚型。

M4a型,骨髓中以原粒细胞及早幼粒细胞增生为主,原幼单和单核细胞大于20%(NEC);

M4b型,骨髓中以原幼单核细胞增生为主,原粒细胞和早幼粒细胞大于20%(NEC);

M4c型,原始细胞既具有粒系又具有单核系特征者大于或等于30%(NEC);M4Eo,除上述特点外,嗜酸粒细胞占5%-30%,胞质中嗜酸颗粒粗大而圆着色较深。

分享

推荐新闻

地址:北京海淀区花园北路49号    邮编:100191

联系电话:010-82266699     E-mail:bysy@bjmu.edu.cn

Copyright © 2022 北京大学第三医院    京ICP备05082115号-2