
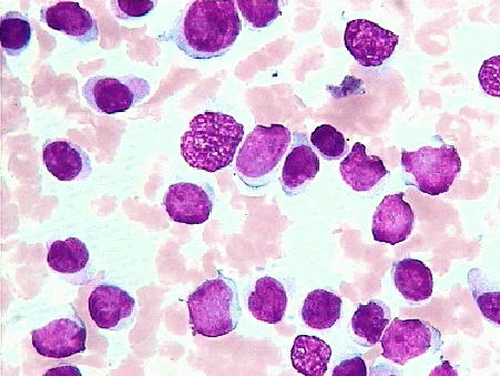
根据骨髓中单核细胞分化程度不同又可分为两种亚型。
(1)M5a型(末分化型):骨髓中原单核细胞显著增生,大于或等于80%(NEC),幼单核细胞较少。白血病细胞单一,该类细胞类圆形或不规则形,胞核可有凹陷、折叠,染色质疏松,呈细网状,核仁明显,胞质呈蓝灰色,可有伪足突出,部分细胞胞质中可见细长的Auer小体;
(2)M 5b型(部分分化型):骨髓中可见分化不一单核系的白血病细胞,原单核细胞小于80%(NEC),幼单核细胞较M 5a明显增多,可大于20%。白血病细胞大小不一,形态不规则,可形如拖尾状;胞核有折叠,呈笔架形、马蹄形、肾形、S形等,染色质网状或条索状,胞质量丰富呈蓝灰色,可有粗细不一紫红色颗粒,常有明显伪足。