
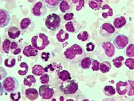
[骨髓象]
(1)增生极度活跃或明显活跃。粒红比值显著增高。
(2)粒细胞系极度增生,各阶段粒细胞均见增多,以中性中幼粒、晚幼粒细胞增多为主,原粒细胞较少,一般<0.05。嗜碱性及嗜酸性粒细胞常同时增多。粒细胞常见大小不一,核浆发育不平衡现象。核分裂象易见。
(3)红细胞系受抑制,各阶段幼红细胞减少,成熟红细胞形态正常。 .
(4)巨核细胞及血小板早期正常或增多,晚期减少。慢性粒细胞白血病病程晚期可发生急性变(慢粒急变),也称原始细胞危象。
(5)慢粒急变时大多变为急性粒细胞白血病,临床表现与急性白血病相同,血液学特点也近似急性白血病。