实验室检查项目

当前位置: 首页 > 实验室检查项目 > 正文

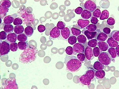
急性髓系白血病,M1型(AML,M1)

发布时间:2005-08-05    点击数:

1

骨髓中原粒细胞大于或等于90%(NEC)。细胞形态较单一,胞核/胞质比例高,染色质细致,部分原粒细胞胞质中可含有少量嗜天青颗粒,可见Auer小体。早幼粒及其以下各阶段细胞很少。

分享

推荐新闻

地址:北京海淀区花园北路49号    邮编:100191

联系电话:010-82266699     E-mail:bysy@bjmu.edu.cn

Copyright © 2022 北京大学第三医院    京ICP备05082115号-2