实验室检查项目

当前位置: 首页 > 实验室检查项目 > 正文

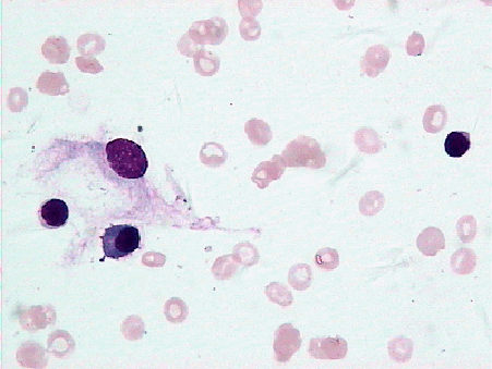
再生障碍性贫血(aplastic anemia,AA)

发布时间:2005-08-05    点击数:

1

[骨髓象] 红髓病变广泛,多部位穿刺显示下列变化。

(1)增生减低或重度减低。

(2)粒、红两系细胞均明显减少,淋巴细胞相对增多,可达0.80以上。

(3)粒细胞系中以成熟粒细胞最多见,细胞形态大致正常。

(4)红细胞系中以晚幼红细胞最多见,成熟红细胞形态无明显异常。

(5)巨核细胞明显减少,除个别病例外,多不见巨核细胞。

(6)浆细胞、组织嗜碱细胞、网状细胞等非造血细胞增多。

分享

推荐新闻

地址:北京海淀区花园北路49号    邮编:100191

联系电话:010-82266699     E-mail:bysy@bjmu.edu.cn

Copyright © 2022 北京大学第三医院    京ICP备05082115号-2