实验室检查项目

当前位置: 首页 > 实验室检查项目 > 正文

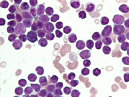
急性淋巴细胞性白血病(ALL)

发布时间:2005-08-05    点击数:

1

[骨髓象]

(1)增生极度活跃或明显活跃。

(2)淋巴细胞系过度增少,以原始及幼稚淋巴细胞为主。原、幼淋巴细胞形态异常,基本特征为核大浆少。易见核分裂象,易见篮状细胞,胞浆中无Auer小体。

(3)粒细胞系及红细胞系均受抑制,各阶段细胞明显减少。

(4)巨核细胞系受抑制,巨核细胞明显减少或缺如。

分享

推荐新闻

地址:北京海淀区花园北路49号    邮编:100191

联系电话:010-82266699     E-mail:bysy@bjmu.edu.cn

Copyright © 2022 北京大学第三医院    京ICP备05082115号-2