实验室检查项目

当前位置: 首页 > 实验室检查项目 > 正文

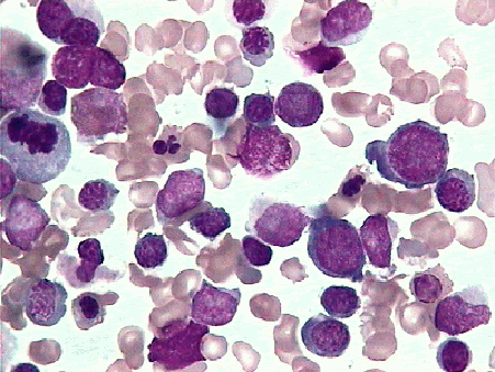
急性髓系白血病,M6型(AML,M6)/红白血病

发布时间:2005-08-05    点击数:

1

骨髓中红细胞系显著增生,幼红细胞往往大于50%,且伴有形态异常,表现为巨幼样变、多核、巨形核、母子核、核碎裂等。同时有白细胞系的异常增生,原粒细胞(原、幼单核细胞)大于30%(NEC),如外周血中原粒细胞(原、幼单核细胞)大于5%时,骨髓中原粒细胞(原、幼单核细胞)大于20%(NEC)。

分享

推荐新闻

地址:北京海淀区花园北路49号    邮编:100191

联系电话:010-82266699     E-mail:bysy@bjmu.edu.cn

Copyright © 2022 北京大学第三医院    京ICP备05082115号-2