实验室检查项目

当前位置: 首页 > 实验室检查项目 > 正文

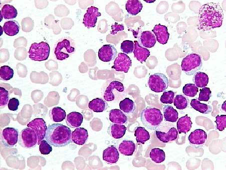
慢性淋巴细胞性白血病(CLL)

发布时间:2005-08-05    点击数:

1

[骨髓象]

(1)增生明显活跃或极度活跃。

(2)淋巴细胞系高度增生,以成熟小淋巴细胞为主,占有核细胞的0.50以上,细胞形态与正常淋巴细胞相似。原始及幼稚淋巴细胞少见,一般<0.05。易见篮状细胞。

(3)粒系及红系细胞均明显减少。

(4)巨核细胞减少或缺如。

分享

推荐新闻

地址:北京海淀区花园北路49号    邮编:100191

联系电话:010-82266699     E-mail:bysy@bjmu.edu.cn

Copyright © 2022 北京大学第三医院    京ICP备05082115号-2