
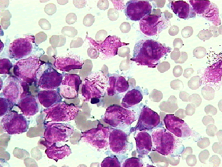
骨髓中以颗粒增多的异常早幼粒细胞增生为主,占30%一90%(NEC),原粒细胞比例无明显增加。早幼粒细胞特点为细胞大小不一,胞核常不规则,染色质粗细不等,核仁常被嗜天青颗粒所覆盖而不清。胞质量丰富,含有大量密集紫红色嗜天青颗粒,并可见蓝色无颗粒之外浆呈伪足状突出。Auer小体易见,有时可呈“柴捆状”称为“柴捆细胞”(faggot cell)。
根据胞质中颗粒粗细不同可分为两型。(1)M3a粗颗粒型,胞质中颗粒粗大深染、密集融合,往往遮盖在胞核上。(2)M3b:细颗粒型,胞质中充满细小嗜天青颗粒,有时为灰尘样,甚至在光学显微镜下不易看见,核染色质细致,核型不规则或呈肾形,可有扭曲、凹陷、分叶状,形态上易与单核细胞白血病相混淆。