实验室检查项目

当前位置: 首页 > 实验室检查项目 > 正文

溶血性贫血 (heamo1ytic anemia)

发布时间:2005-08-05    点击数:

1

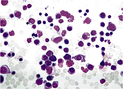
[骨髓象]

(1)增生明显活跃。

(2)粒红比值明显减低或倒置。

(3)红细胞系显著增生,幼红细胞百分比常>O.50,以中幼红细胞为主,其他阶段的幼红细胞亦相应增多,易见核分裂象。成熟红细胞中易见大红细胞、嗜多色性红细胞及Howell-Jolly小体。

(4)粒细胞系相对减少,各阶段比例及细胞形态大致正常。

(5)巨核细胞系一般正常。

分享

推荐新闻

地址:北京海淀区花园北路49号    邮编:100191

联系电话:010-82266699     E-mail:bysy@bjmu.edu.cn

Copyright © 2022 北京大学第三医院    京ICP备05082115号-2