
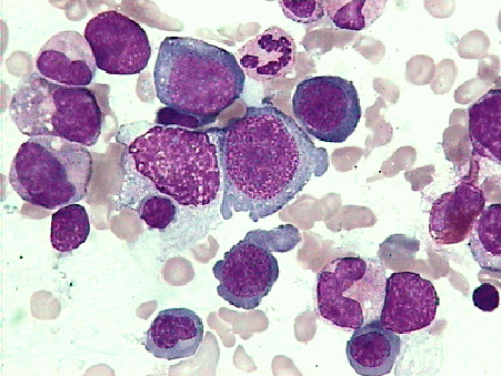
[骨髓象]
(1)增生明显活跃。
(2)粒、红比值明显减低。
(3)红系明显增生,幼红细胞百分比常>0.40,以早及中幼红细胞为主。出现各阶段巨幼红细胞,巨幼红细胞与相应阶段的正常幼红细胞相比,胞体及胞核均增大,核染色质纤细、疏松,着色浅淡。胞浆量丰富,呈核浆发育不平衡,细胞核的发育落后于胞浆。成熟红细胞明显大小不均,呈高色素性。易见巨红细胞、异形红细胞、Howell—Jolly小体及点彩红细胞等。
(4)粒细胞系相对减少,可见各阶段巨粒细胞,以晚幼粒、杆状核细胞最多见,其特点是胞体增大,胞核肿胀,核染色质疏松。成熟粒细胞有核分叶过多现象。
(5)巨核细胞数目大致正常,但亦可见巨型变,部分巨核细胞核呈分叶状。