病例:女性 51岁 因右上臂肿物就诊
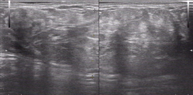
超声描述:右上臂肿物处探查:皮下软组织内见不均匀中强回声,边界清,大小约8.0*3.5cm,CDI:内见少量血流信号。
超声提示:右上臂皮下实性包块--考虑脂肪瘤
病理回报:送检物来异位的乳腺组织,呈纤维囊性乳腺病改变
附图

副乳腺:
? 副乳腺系指正常乳腺以外出现的乳腺组织,又称异位乳腺、多乳腺症或多乳畸形
? 男女皆可发生,女性多于男性(5:1),有遗传性
? 90%发生在“乳线”上(由腋前线向内下,通过正常乳头位置直至股三角内侧)
? 腋窝区、胸前部>面颊、耳、肩胛、手臂、大腿外侧、大阴唇
? 分完全型副乳(有乳头和乳腺腺组织)、不完全型副乳(有乳头但无乳腺组织,或有乳腺组织而无乳头)
? 异位乳腺大多易引起乳腺增生、乳腺囊肿病、腺瘤形成等。
超声表现:
? 大部分位置表浅,与皮肤组织呈紧密关系,两者之间无低回声的脂肪组织,表现为边界不清的团块,无包膜,回声略低于正常乳腺组织,高于脂肪组织,分布不均匀。
? 另有一小部分位置较深,与脂肪组织无明显界限,两者呈相间排列,回声接近脂肪组织,但有条索状光带分布呈现网状,且光带上见毛刺样絮状高回声突起。
? 彩色多普勒显示团块内大多无明显的血流分布。