回到主页
院内办公OA登录
北京市卫生健康委员会
帮助
首页
科室简介
科室新闻
通知公告
科室特色专业
肌肉骨骼超声
介入血管超声
科室风采
健康科普
学术前沿
典型病例分享
回到主页
院内办公OA登录
北京市卫生健康委员会
帮助
典型病例分享
当前位置:
首页
>
典型病例分享
> 正文
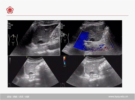
肝脏占位性病变之肝腺瘤
发布时间:2019-08-02 点击数:
知识拓展
分享
上一篇:
乳腺疾病之哺乳期乳腺癌
下一篇:
异位乳腺
推荐新闻
国际著名肌肉骨骼系统超声专家Carlo Martinoli教授莅临北京大学第三医院超声医学科授课交流
2024-04-15
白俄罗斯超声专家访问我院超声医学科
2024-03-21
超声医学科崔立刚教授当选北京市超声医学质量控制和改进中心专家委员会副主任委员
2024-01-15
我想成为一名好医生,也想成为一名好老师 --记超声医学科青年医师薛恒在教师节的发表感言
2023-09-13
让红旗渠精神丰碑永存-超声医学科党支部红旗渠学习心得体会
2023-09-13
庆“七一”,悟初心——北医三院老年内科党支部、超声医学科党支部联合开展参访中央党校的主题党日活动
2023-07-31
筑梦三院,不负韶华-热烈欢迎马晓途博士加入北医三院超声科
2023-01-19
北医三院超声医学科梁晓龙研究员喜获2022年北京市杰出青年科学基金项目资助
2022-11-27
地址:北京海淀区花园北路49号 邮编:100191
联系电话:010-82266699
Copyright © 2022 北京大学第三医院
京ICP备05082115号-2