间质性肺病(interstitial lung disease, ILD)是系统性硬化病(systemic sclerosis, SSc)患者肺部受累的主要类型之一。SSc相关ILD包含多种组织病理学亚型,最常见的是非特异性间质性肺炎(nonspecific interstitial pneumonia, NSIP)和寻常型间质性肺炎(usual interstitial pneumonia, UIP)。与肺部未受累的SSc患者相比,肺部受累者的预后更差。
1.SSc与ILD
弥漫型SSc的特点是广泛的皮肤受累,伴皮肤硬化延伸至肘关节近端,弥漫型SSc患者在疾病早期发生ILD的风险增加。局限型SSc的特点是皮肤硬化局限于手部、远端肢体,但可累及面颈部。局限型SSc患者在病程早期发生ILD的风险较小,但ILD可在晚期出现。
2.临床表现
早期ILD常常无症状。SSc相关ILD的最常见症状是乏力、呼吸急促(最初为劳力性呼吸困难)和干咳。胸痛不常见,咯血罕见。虽然大多数患者在发现ILD时有SSc的皮肤特征,但偶有患者首先表现为ILD,随后出现SSc特征性表现,如雷诺现象、肢端硬化、自身抗体阳性或甲襞毛细血管显微镜检查异常。体格检查中,ILD最具特征性的表现是双肺底吸气性细湿啰音(即“Velcro”啰音),杵状指(趾)不常见。
3.评估
(1)实验室检查 — 特征性自身抗体的存在支持SSc的诊断,不能诊断ILD,但可用于预测合并ILD的可能性。例如,抗拓扑异构酶Ⅰ(又称抗Scl-70)与SSc相关ILD风险增加有关。其他SSc相关自身抗体也与ILD风险增加有关,包括抗U3核糖核蛋白(ribonucleoprotein, RNP)、抗U11/U12 RNP和抗Th/To。抗着丝点抗体(anticentromere antibodies, ACA)常见于SSc合并PAH患者,很少与ILD有关。
(2)肺功能检查
1) 肺量计检查–第1秒用力呼气容积(forced expiratory volume in one second, FEV1)和用力肺活量(forced vital capacity, FVC)成比例减少(即,FEV1/FVC比值正常),提示存在限制性通气障碍,这种情况可能见于ILD患者。然而,SSc患者肺量计检查正常并不能排除早期ILD。
2)肺容积–在ILD患者,FVC、肺总量(total lung capacity, TLC)、功能残气量(functional residual capacity, FRC)和残气容积(residual volume, RV)可能降低。初次就诊时FVC接近正常的SSc患者进展为严重ILD的风险较低。然而,肺容积正常并不能排除早期ILD。
3)弥散量–单次呼吸一氧化碳弥散量(diffusing capacity of the lungs for carbon monoxide, DLCO)是一项很好的ILD筛查试验,DLCO下降可能是在SSc相关ILD首个肺功能检测的异常指标,但不具有特异性。其他情况(如肺高压、吸烟、血栓栓塞性疾病)也可能引起DLCO下降。在SSc相关ILD患者中,DLCO下降通常与肺容积下降成比例。此外,DLCO下降与HRCT检查发现的ILD严重程度相关,是不良结局的预测指标。
(3)影像学
1) 胸片 — 胸片对检测早期ILD相对不敏感,如果患者进行胸部CT则可不进行该检查。已确诊的SSc相关ILD的典型放射影像学特征为对称网状或磨玻璃样不透光区。这些放射影像学特征通常在肺底部最明显。
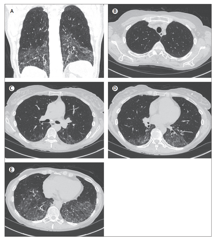
2) HRCT扫描 — 肺部薄层(3mm或以下)HRCT扫描有助于ILD的评估。SSc相关性ILD的HRCT模式反映了特发性间质性肺炎的常见组织病理学模式,如纤维性NSIP、UIP和小叶中心性纤维化。NSIP最常见的HRCT表现为肺网状纹理增多、牵拉性支气管扩张、肺叶体积减少和磨玻璃样不透光区,主要受累区域为下肺部,见图1。

图1. HRCT冠状位(A),矢状位(B-E)显示纤维化、非特异性间质性肺炎,伴有玻璃影、网状纹理、牵拉性支气管扩张
(4)支气管肺泡灌洗 — 对于疑似ILD的SSC患者,支气管镜检查和支气管肺泡灌洗(bronchoalveolar lavage, BAL)的主要作用是排除ILD的其他病因。在SSc相关性ILD患者的BAL液中,通常粒细胞数量升高,尤其是中性粒细胞和嗜酸性粒细胞,并可能伴有淋巴细胞和肥大细胞增多。
(5)肺活检 — 虽然SSc相关ILD很少需要进行肺活检,但影像学发现对SSc相关肺疾病不典型的特征或提示肉芽肿性病变、恶性疾病或肺部感染的患者(尤其对于接受免疫抑制药物的患者),评估时可能需要肺活检。因为SSc相关ILD以胸膜下为主,与其他位置的组织取样相比,外周肺活检更有可能发现显著的组织学改变。肺活检病理表现:对于SSc患者,肺活检最常见的组织病理学表现是纤维性NSIP。在NSIP这一类中,可见不同数量的单个核细胞浸润和肺泡间隔纤维化。在SSc相关NSIP中,纤维化特征更明显而炎性特征相对较少。SSc中偶尔可见符合UIP的病理特征。与特发性肺纤维化患者的肺活检相比,SSc相关UIP活检的成纤维细胞灶数量更少,生发中心数量更多。
(6)新型生物标志物的检测 — KL-6是一种主要存在于Ⅱ型肺泡上皮细胞和肺泡巨噬细胞的糖蛋白,SSc相关性ILD患者的血清KL-6水平升高,并可能与SSc患者中肺炎的存在和放射学纤维化评分相关。连续测量血清KL-6水平可能最终发现其对SSc中ILD的诊断和监测有一定作用。现已提出表面活性物质蛋白A和D(在大多数SSc相关性肺病患者血清中升高)]以及CCL18(肺巨噬细胞大量表达的趋化因子)具有类似的预测作用。
参考文献:
1. Perelas A, Silver RM, Arrossi AV, Highland KB. Systemic sclerosis-associated interstitial lung disease. Lancet Respir Med. 2020 Mar;8(3):304-320.
2. UP TO DATE: Clinical manifestations, evaluation, and diagnosis of interstitial lung disease in systemic sclerosis (scleroderma)