科室新闻

当前位置: 首页 > 科室新闻 > 正文

昔日抬头不见天 今朝昂首获新生

发布时间:2007-01-25    点击数:

昔日抬头不见天 今朝昂首获新生

-------125 °颈椎重度后凸畸形奇迹般矫正

我们正常人,颈椎是有一个轻微的向前凸起,这是维持我们颈椎向各个方向正常活动所必需的,因此也被称为“生理性前凸”。在某些疾病情况下,颈椎的生理性前凸可以消失甚至出现向相反方向的后凸畸形。

对于眼前这个达到125°严重颈椎后凸畸形的病人,北医三院经验丰富的骨科医生们也感到非常惊讶。这是一个年仅18岁的男孩,名叫包新(化名)。据了解, 患者在上小学时就开始感觉脖子疼痛,到医院拍片检查时发现颈椎有轻度的后凸畸形,但外观并没有太大的异样,并没有引起家长的充分重视。以后发现其后颈部渐渐地鼓了起来,直到今年,病情突然变得严重,不仅颈椎从外观看后凸明显,还出现了手脚麻木、活动不灵活,走路像踩在棉花上一样,摇晃不稳等症状。患者在当地走访了多家医院,并采取牵引的方法治疗,但效果并不满意。他的头已经抬不起来,几乎不能仰头看天;因为前次颈椎牵引后出现的并发症,左胳膊已经抬不起来了,走路也是摇摇晃晃的,没有人扶着,几乎就不能自己站立和行走… …

2006年7月26日患者入住骨科病房。 骨科上下对他的病情非常重视,颈椎组孙宇主任、张立副主任医师以及全体医护人员组成了一个专门的治疗小组。查阅检索了国内外大量的文献资料,并多次集体研究讨论。大家认为:患者颈椎后凸畸形现在已处于加速发展阶段。正常情况下,脊髓藏在颈椎的椎管中,受到良好的保护,但本患者颈椎严重的后凸畸形,使脊髓在颈椎的椎管内反而受到扭曲牵拉,出现脊髓损害,逐渐出现了四肢的瘫痪症状;如果颈椎后凸畸形不能得到有效纠正,在头颅重量的压力下,其颈椎的后凸畸形将进一步加重,脊髓损害也将持续加重,其结果就是病人四肢瘫痪越来越重,最后只能瘫痪。

综合国内外文献资料,目前还没有发现颈椎后凸畸形如此严重的病例,且文献资料中所介绍的一次手术矫正畸形的方法大多手术难度大,矫形效果差,手术中脊髓损伤的风险极高。即使在手术前的轴向牵引过程中,导致脊髓损伤的风险也比较高。患者以前在别的医院所进行的颈椎轴向牵引,虽牵引重量很小,也还是不幸地导致了脊髓损伤,此后更要慎重。

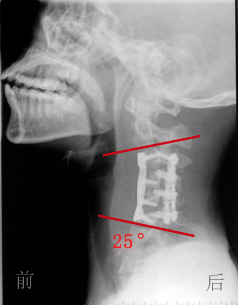
最后,治疗小组决定采用循序渐进的策略,采用松解、牵引复位、最后矫形固定的方法。于七月三十一日首先做了一个颈椎前后路联合的充分松解手术;再创新性地采用了一种全新的“平衡悬吊式牵引”方法,在牵引过程中,将项背部悬空,依靠头颅的自身重量,使颈椎后凸的角度逐渐缩小,通过将近4个星期的“平衡悬吊式牵引”,最后拍片发现病人原本125度的颈椎后凸角度已经减少到了25度左右,而且牵引过程中没有出现脊髓损害加重的常见并发症。一个半月后,治疗小组又对其进行了一次颈椎前后路的联合手术,这一次,就用钛板螺钉内固定的手术方法从前后方向将颈椎固定在了最后牵引到达的后凸25度。

手术后一个多星期,病人就开始下地活动了。由于手术后颈椎变直了,消除了对脊髓的扭曲牵拉,手术前四肢活动不灵活等脊髓损害症状也得到了明显改善,病人不需要别人帮助也能比较自如地下地行走了。弯曲的颈椎变直以后,病人的身高还意外地长高了几公分。

我院骨科为该例病人采用的治疗策略及手术方法,在国内外属于首创,畸形矫正的效果也是最好的。特别是创新性地采用了颈椎“平衡悬吊式牵引”方法,把原本及其复杂、风险极高的手术分解为2个十分简单、易于操作的手术,极大地降低了手术风险和难度,并且大大提高了畸形矫正的效果。

骨科秘书组

术前大体 术后大体 牵引中

术前X线 术后X线

.com>

分享

地址:北京海淀区花园北路49号    邮编:100191

联系电话:010-82266699     E-mail:bysy@bjmu.edu.cn

Copyright © 2022 北京大学第三医院    京ICP备05082115号-2