
图1:肱骨干骨折11年不愈合,外院4次手术,患者左上臂存在异常活动。
FIGURE 1: After 11 years and four operations in other hospital, nonunion and
abnormal movement existed in left upper arm.

图2:术后6个月,人工骨完全吸收,骨折愈合,患者左上臂活动恢复正常。
FIGURE 2: Six months later, bone union occurred and left upper arm restored to
normal movement.

图为:骨盆髋臼骨折经皮微创固定
FIGURE: Percutaneous fixation of pelvic ring and acetabulum fractures.

图为:85岁,股骨粗隆部粉碎骨折,微创置入LISS,术后 3个月骨折愈合
85 years old female, completely displaced fracture of proximal
right femur. Fracture healed 3 months after reverse femoral LISS fixation.

图1:21岁美国大学生,车祸致颈、腰椎多处骨折,四肢不全瘫。
FIGURE 1:A 21-year-old American college student, multiple fractures
of cervical and lumber spine in a car accident, ASIA C incomplete paralysis.

图2:手术后一周下地行走。
FIGURE 2: standing and walking one week after operation


图3:手术后9个月复查
FIGURE 3: Nine months after operation

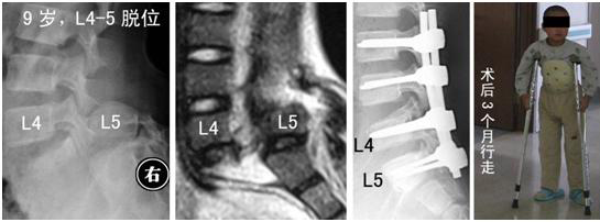
9岁男孩重物砸伤腰部导致L4-5骨折脱位,行L4-5骨折脱位减压复位+L3-S1椎弓根固定术,术后3个月患者复查可扶拐行走。
A 9-year-boy who had L4-5 fracture and dislocation resulted from heavy goods drop on the back Decompression, reduction of L4-5 fracture and dislocation , L3-S1 pedicle screw fixation.were performed. Three months later he could walk with crutches.
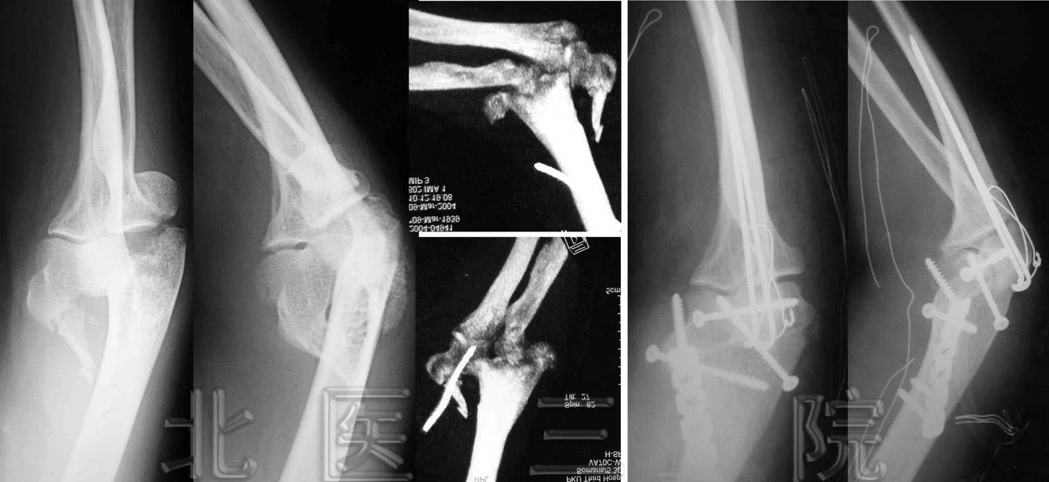
1.女,65岁,肱骨髁间粉碎性骨折,术后肘关节功能大部分恢复

2.前臂双骨折,交锁髓内钉固定

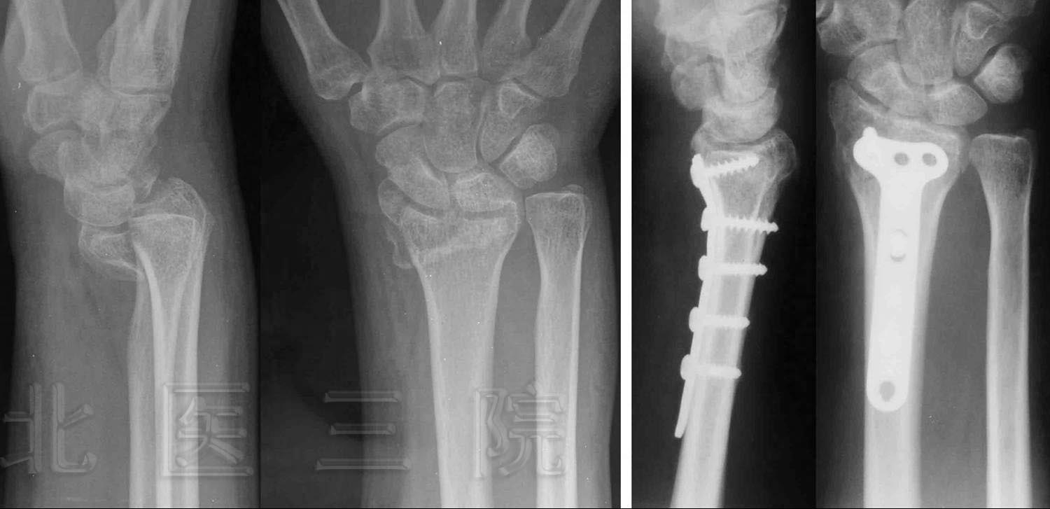
3.桡骨末端掌侧Barton骨折

4.男,35岁,车祸致多发创伤
1)股骨上端骨折
2)胫腓骨下端粉碎性骨折
3)L1、L2骨折


5.女,66岁,外伤致股骨下端骨折,行股骨逆行交锁髓内
钉固定术

6.女,43岁,车祸致胫骨平台骨折

7.男,49岁,胫腓骨骨折,径胫骨髓内钉固定+腓骨钢板固定

8.男,44岁,高处坠落伤致左髋臼、骨盆骨折

9.男,55岁,高处坠落伤致跟骨骨折

10.C6陈旧性骨折脱位
男,23岁,70天前车祸伤,当时有昏精迷史,2天后苏醒,
感觉颈部疼痛,右前臂与右手掌尺侧感觉过敏,左手指不能
活动,双下肢感觉活动正常保守治疗后症状加重,转我院手
术治疗症状缓解

11.L3爆散性骨折脱位
男,38岁,L3爆散性骨折脱位伴尾神经完全损伤3周入院
术后可乘坐轮椅

12.
11年“断臂”终能伸屈
www.thebeijingnews.com · 2006-2-4 1:45:55 · 来源: 新京报
术前已出现严重骨缺损和骨萎缩,不日可恢复正常功能
本报讯(记者魏铭言通讯员姚永玲牛小燕)昨天,“断臂”11年的贾先生,在北医三
院骨科医生的指导下,终于可以重新自由伸屈自己的左臂了。
贾先生回忆,1994年10月,他在出差途中遭遇车祸,左胳膊开放性骨折,肱骨干完全
断开。医生为他实施了切开复位内固定手术。但时隔半年,他的左胳膊仍肿胀、疼痛得不
能活动。到医院检查发现,伤臂的桡神经损伤严重。此后,他接受了桡神经松解术等多次
手术,不但没有痊愈,左臂还出现了肢体内翻畸形。此后,经过多次手术仍不能治愈,医
生只能暂时拆除伤臂的外固定架,让左臂几乎成了“断臂”。
去年年末,贾先生拖着“断臂”来到北医三院骨科求治。医生检查发现,贾先生的伤
臂经多次手术,骨折处已出现严重的骨缺损和骨萎缩,必须重新植入新骨并牢固固定。院
方由4位医师共同为贾先生实施手术,首先彻底清除了“断臂”内的瘢痕及硬化骨质;然后,
对断臂处进行植骨;最后,精细的螺丝钉将新骨与旧骨密切、牢固地结合起来。
手术后两天,贾先生的左臂能抬起了。经过一个月的锻炼,终于可以自由伸屈。医生说,
再经过一段时间的功能训练,贾先生的左臂就可以拎东西,正常工作了。