“王大夫,救救我的孩子吧!”这天晚上,北医三院眼科王毅副主任医师刚走出手术室大门,一位妈妈冲到他面前,怀里抱着一个昏昏欲睡的小女孩,只见小女孩满脸通红,右眼肿得像个桃子,根本睁不开眼,精神萎靡不振,时不时哭闹几声,又昏昏睡去。
一问才知道,孩子不明原因发烧几天,眼睛一天比一天肿胀,精神也越来越差。当地医院诊断孩子得了严重的眶蜂窝织炎,建议到北京就诊。
王毅警觉地问家长:“孩子前几天是不是流大鼻涕了?”
“对对对,是,孩子前几天感冒了!”孩子妈妈答道。
“马上找床位,不能再等了! ”王毅摸了摸孩子滚烫的额头,神情凝重地忙碌了起来。“抓紧联系儿科、耳鼻喉科、麻醉科、药剂科……”一场从急重感染中抢救患儿生命和视力的多学科救治行动紧张又有条不紊地展开了。
患儿年仅3岁,右眼感染情况危重,不马上进行治疗将面临失明的风险,感染进一步加重甚至可能引起更为严重的颅内感染而危及生命。儿科知晓情况后立即将孩子收入病房,在儿科病房里完成了眼科、耳鼻喉科、儿科、放射科、麻醉科、药剂科等多学科会诊,MDT专家团队进行了充分讨论。

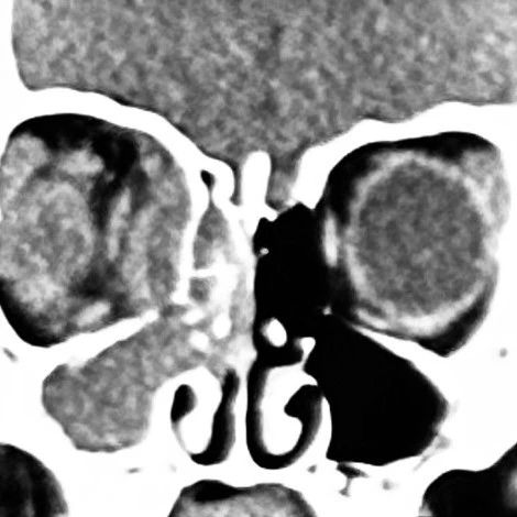
患儿的CT影像
根据患儿的CT表现,符合鼻窦炎的眶并发症,属于眼科和耳鼻喉科的急危重症。药剂科认为,目前患儿已经接受了经验性广谱抗生素的治疗,眼部红肿没有明显好转,病灶持续扩大,患儿仍有发热、食欲不振等严重感染的全身表现,考虑药物治疗效果差,目前脓肿已形成,需积极进行手术引流。
手术需要全身麻醉,患儿低龄,在感染状态进行全身麻醉存在围麻醉期相关风险,麻醉科表示全力以赴,护孩子周全。手术室立即协调手术台,为孩子创造手术条件。关于手术治疗的方案,一方面需要对眶内脓肿进行引流,另一方面需要开放鼻窦,将鼻窦内的感染灶进行清理。
耳鼻喉科闫燕主任高度重视患儿病情,组织全科进行了病例讨论。考虑到患儿是3岁女童,眼部切口进行眶内脓肿引流对于患儿将来的面容存在影响,且术后眼部换药患儿难以配合,CT所见患儿炎症集中在眼眶内壁周围,可以尝试经鼻进行手术。马芙蓉教授阅片后发现,患儿的眶内下角存在一个非常小的骨质不连续区域,可能是炎症从鼻窦向眼眶感染的通道,也是经鼻进行引流手术的关键突破口。
手术方案由此确定:鼻内镜下同时进行鼻窦开放、眶内脓肿引流手术,由耳鼻喉科张迎宏副主任医师和眼科王毅副主任医师同台,如果鼻内镜下引流不充分,再进行眼科外入路引流手术。决定好手术方案后,儿科迅速为患儿进行了术前各项准备工作,手术很快开始。
与成年人相比,3岁儿童的鼻腔操作空间极为狭小,患儿鼻腔和眼眶的感染重,炎症反应使得鼻腔和眼眶的结构难于辨认,且容易出血干扰手术视野,更增加了手术的难度。患儿的鼻窦存在严重变异,这既是发生眶蜂窝织炎的原因,也是容易把医生引入“歧途”的陷阱。在完成鼻窦开放后,挤压患者眼球时看到眼眶内的脓液顺着眼眶与鼻腔之间的骨间隔缝隙缓缓流出,“这就是鼻窦炎感染眼眶的通道了!”王毅医生笃定地说。
张迎宏医生顺着这个狭窄的缝隙,找到了眼眶与鼻窦之间的菲薄骨性间隔,眼眶内的脓肿腔隙终于暴露出来。剥离炎性纤维膜时,稍有不慎就可能导致感染进一步扩散,增加致盲的风险,而如果追求保守,很可能埋下祸根,变成持久的抗生素拉锯战。张迎宏熟练地将各种手术器械经过小小的鼻孔伸进曾被公认为“手术禁区”的眶鼻交界区,如蜻蜓点水般轻巧地剥离下包裹在眼眶周围厚厚的炎性组织。手术全程中,王毅像精准的导航仪一样帮助定位眶鼻交界区的解剖结构。
经过一个半小时的共同奋战,感染灶被彻底清理,手术室发出一片欢呼声:孩子终于得救了!手术结束后,手术医生给学生们打了一个形象的比喻,这个手术就像酒瓶子里有一个鸡蛋,我们要通过瓶子口伸进手术器械把鸡蛋壳剥离下来,还不能对鸡蛋有一点点伤害。任何伤害留给孩子的可能就是失明或者斜视。
手术后,多学科专家团队密切观察患儿病情变化,每日进行查房讨论。术后第1天,患儿的体温和血液感染指标恢复正常,第2天查房时,小姑娘就在病房里睁着水灵的大眼睛和妈妈玩游戏了。

术前(左)与术后(右)对比
出院之前,患儿家长抱着孩子与MDT团队专家合影并表达了由衷的感谢,感谢北医三院眼眶病MDT团队还给孩子一个光明的世界。

患儿、家长和MDT团队合影
本次手术将眼眶脓肿经鼻进行引流,并在婴幼儿中成功开展,避免了外切口瘢痕,创伤小、手术快、引流充分,不需反复进行局部消毒换药,显著改善了患儿生活质量,挽救了患儿的视力。治疗的成功,离不开MDT团队协作综合诊疗制度的支持,更离不开北医三院每一位医护的大爱之心,不负生命重托,用爱创造奇迹。