冠状动脉搭桥手术是治疗冠心病的重要手段,但对普通百姓来说,提起冠状动脉搭桥,就联想到“开大胸”“创伤大”“恢复慢”“风险高”,让人谈之色变、避恐不及。随着技术的进步,冠脉搭桥手术在微创化的道路上不断前进,甚至可以在局麻下完成。近日,北医三院心脏外科就进行了这样一例特殊的手术。
老王今年刚60岁,已经是冠心病的老病号了。9年前在当地确诊,在前降支和右冠状动脉放置支架开通了血管。但之后老王并没有改变自己的不良生活习惯,不忌烟酒,吃药也不规律,高血压、糖尿病都控制得不满意。
两个月前,老王心梗发作,冠脉造影发现,原先前降支的支架内出现了严重狭窄。
老王辗转来到北京大学第三医院心脏外科,吴松主任医师接诊并收治了他。入院后的检查与治疗有条不紊地进行着。但呼吸系统的结果出来后,主管医生不由得担心了起来。
老王是个老烟民,40多年的烟龄,每天1-2包烟,一直没有间断。双肺满布大疱,肺气肿明显,肺功能结果非常差。并且老王缺乏锻炼,身形肥胖,170cm的身高,体重达到90kg,对肥胖患者而言,相对肺容积较小,这使本身就差的肺功能更显得捉襟见肘。

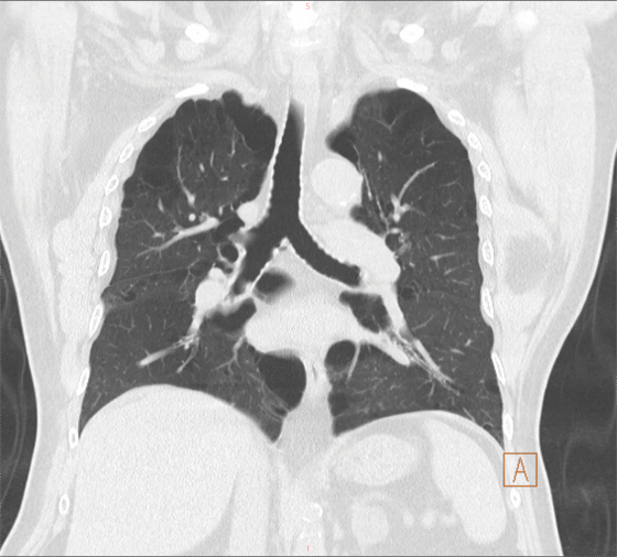
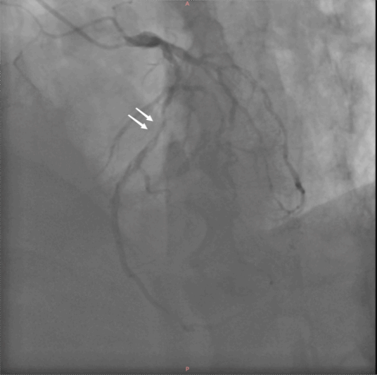
左图:术前冠脉造影(白色箭头指示前降支支架内严重狭窄) 右图:术前CT影像(双肺肺气肿、肺大疱)
“这样的肺,机械通气安全吗?肺大疱破了怎么办?术后能脱离呼吸机吗?”这成为摆在医生面前的重大难题。
但是,冠心病的治疗不能延误,由于支架内狭窄严重,入院后,老王已不止一次心绞痛发作,无法停止静脉硝酸酯类药物的使用。如果不手术,才刚60岁的老王的人生没有未来;如果手术,如何脱机又成为最大的障碍。
心脏外科凌云鹏主任牵头,组织了两次全科讨论。“对老王来说,我们最怕什么?术后不能脱离呼吸机。那么,我们干脆不用呼吸机行不行?不插管、局麻下做搭桥!”
这个手术策略并非异想天开。时针拨回到2000年,凌云鹏主任的导师、北医三院心脏外科的前任主任万峰教授,开展了国内首例局麻清醒下微创冠脉搭桥手术。赓续冠脉外科的微创化理念,选择适合患者的个体化治疗,是北医三院心脏外科始终秉承的精神。万峰教授当年完成的开创性手术,患者心肺功能以及各方面条件都不错,医生“有得选”。而老王的各方面条件,尤其是肺部状况都不尽如人意,团队根据患者的情况量身订制了这一手术方案,作为常规手术的替代,医生几乎“没得选”。

与家属术前谈话
成功的手术需要麻醉、康复、护理等其他专业团队的配合。术前,医务处组织了两次全院会诊,制定了详细的手术、麻醉方案,呼吸与危重症医学科、胸外科也表示在围术期会给予相应保障。
清醒状态下,术中作肋间切口会造成左侧气胸,为了节约主要术野操作的时间,也为了尽量压缩单肺通气时间,团队决定放弃获取乳内动脉,使用大隐静脉,进行腋动脉-大隐静脉-前降支的吻合方式。
经过充分的准备,手术在2024年1月10日进行,手术由凌云鹏主任主刀,邓莹副主任医师负责麻醉。患者进行高位胸段硬膜外麻醉,麻醉阻滞平面在满足手术区域的同时兼顾腋动脉区域,并且对右下肢进行了椎管内麻醉。

邓莹副主任医师(左二)为患者实施硬膜外麻醉
麻醉完成后,邓莹医生反复确认麻醉效果。手术开始,获取大隐静脉与游离左侧腋动脉同时进行。凌云鹏主任将大隐静脉吻合于左侧腋动脉,完成近端吻合,并将大隐静脉由第一肋间引入胸腔。期间,麻醉医生间断询问患者感觉,安抚患者情绪。
接下来进行主切口的操作。一旦进入胸腔,就意味着倒计时的开始,手术医生需要在极其有限的时间内完成吻合并止血关胸。主切口切开后,患者只能依靠右肺呼吸,膈肌起伏异常明显。
此外,由于患者肥胖,心包外脂肪、心表脂肪均较多,术区暴露相对困难。各方面因素叠加,手术操作难度显著增加。

凌云鹏主任(右)与吴松主任医师为患者实施手术
凌云鹏主任临危不惧,在跳动的心脏上进行远端吻合,给前降支输送了亟需的血液。“流量挺好!”放下手中的探头后,手术室沸腾了。
整个手术期间,患者一直处于清醒状态,时刻向麻醉及手术医生反映自己的体验及感受。手术完毕后,患者回到心脏外科普通病房。

术后当日,凌云鹏主任查房
老王后续的康复过程非常顺利。手术当天胸腔引流仅40ml,术后第一天便拔除了引流管。术后当天进食,次日下地活动,各项复查结果满意。

术后复查冠脉CT显示桥血管通畅
术后第6天,老王出院了。出院时,老王难掩兴奋之情:“本来以为自己没希望了,都没有手术机会了,真的没想到自己却成了最幸运的一位患者。我也会告诉其他人,搭桥不但能微创,还能局麻做!”

患者与医护团队部分人员合影
该疑难病例的成功救治,给因为肺部疾患而无法耐受机械通气的冠心病患者提供了新的治疗手段和思路,为这一特殊患者群体带来了新的希望。同时,也扩展了微创冠脉搭桥的适应证,并且尝试了一种新的冠脉搭桥手术和麻醉的配合方式。
北医三院心脏外科以微创冠脉搭桥为特色,是国内最早开展微创搭桥的心脏中心之一,自2014年起,科室开始开展经左胸小切口冠状动脉搭桥术,手术团队目前已完成该术式逾千例,位居国内第一。
对于左胸小切口单支、多支冠脉搭桥、杂交手术以及机器人辅助冠脉搭桥,团队均制定了标准化管理流程及手术方案。相比正中切口手术,微创冠脉搭桥创伤小、输血少、康复快、住院时间短,术后早期手术效果不亚于常规搭桥手术。团队与麻醉科、心血管内科的合作深入、高效。科室始终贯彻“微创、无痛、快速康复”的先进理念,针对特殊患者,量身定制个性化的微创手术方案,尽心尽力让患者满意。