“主任,您看看我这肿瘤是不是没救了,很多医院都说手术难度大,风险高,没法手术了。”2024年3月,35岁耿女士愁容满面地来到了北京大学第三医院胸外科常务副主任强光亮的门诊,焦急地诉说着自己的就诊经历。

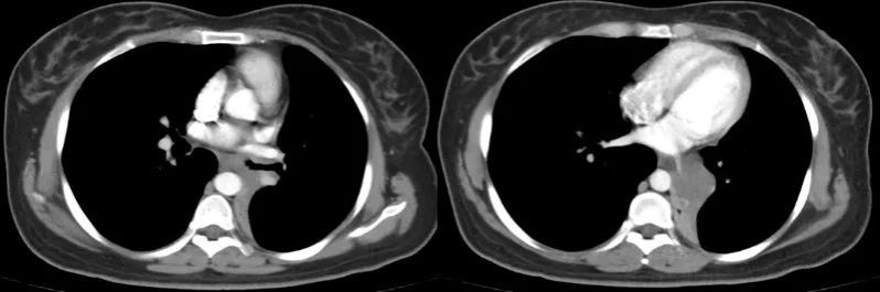
术前胸部CT

术前气管镜检查
胸部CT检查发现,耿女士的左肺支气管内有一个肿物,已经完全堵塞了左肺下叶支气管和部分左肺上叶支气管,雪上加霜的是,肿瘤还完全包绕关键的肺血管——左肺下叶静脉。医生为耿女士进一步完善了气管镜检查,发现在左主支气管开口下2-3cm处可见肿物,肿物沿着管腔延伸至下叶,取活检后病理明确为腺样囊腺癌。
肺癌是我国新发病例数最高的癌症,根据2024年2月国家癌症中心发布的《2022年中国癌症发病率和死亡率》,中国新发癌症病例数482.47万例,肺癌位居榜首,达106.06万例,给国民带来沉重的负担。肺部腺样囊性癌虽然是一种普遍认为恶性度低的肺部恶性肿瘤,生长起来往往要数年,对化疗不敏感,早期手术治疗效果好,但是耿女士的肿瘤包绕关键血管,手术中往往难以安全地将关键血管游离、离断,是手术的难点。
经多学科MDT会诊,强光亮医生建议:“患者目前情况不乐观,根据肿瘤的生长部位,需要全肺切除才能保证肿瘤完整切除。但是肿瘤沿气管外侵很严重,下肺静脉完全被肿瘤包绕,可能侵犯心脏了!总体来说,手术可以尝试,但风险比较大。我们与心脏外科共同制定手术方案,同台手术,保证安全。”
“大夫,她才30多岁,哪怕有一线生机,我们也想试试,不放弃!”站在一旁的耿女士的爱人急切表达着自己的意愿。
经过一系列的术前评估后,2024年3月21日,耿女士的手术开始了。胸外科团队首先上台,心脏外科团队在一旁随时待命。
术中,胸外科团队先尝试腔镜下探查。正如术前判断,由于肿瘤播散侵犯了心脏,完全包绕下肺门及关键血管——左肺下叶静脉,前后肺门都难以游离出下肺静脉。强光亮冷静思索后决定:可以从心包内尝试。强光亮在安全距离打开心包,探查到关键血管——上下肺静脉。然而,手术团队又面临新的问题:心包内下肺静脉也被肿瘤包绕,难以游离出足够的长度。

肿瘤严重包绕下肺静脉
根据术前的预定方案,更有心脏手术经验的心脏外科吴松主任医师和傅元豪副主任医师团队上台,胸外科与心脏外科团队密切配合,终于将关键血管——下肺静脉游离出了一定的长度。

胸外科与心脏外科团队配合顺利断扎关键的下肺静脉
随后,胸外科团队断扎了下肺静脉并行部分左心房切除,之后连续处理了其他关键血管——上肺静脉、左肺动脉干。同时,由于术中发现支气管后下方与食管及主动脉关系均很紧密,经过仔细充分的游离,手术团队紧贴隆突位置处理了左主支气管,完整切除了左全肺。
术后,患者恢复良好,3天后拔除了胸腔引流管,康复出院。
无独有偶,近期胸外科还联合心脏外科完成了另外一例复杂的胸腔肿瘤手术。付女士是一位70岁的老年女性,2024年3月因为反复咳嗽就诊,胸部CT检查发现,心脏的侧前方有一个巨大肿瘤。肿瘤与一些无名静脉、胸廓内动静脉等关键血管以及肺门的关系非常密切。

患者术前胸部CT增强
经过医生评估,手术切除是效果最佳的治疗方法,但术中需要保护上述脆弱的血管,存在很大的难度与风险。胸外科与心脏外科术前讨论,决定采用正中开胸入路,必要时转为"T"字切口,确保肿瘤安全切除和血管保护。手术中采用左侧封堵器麻醉,关键步骤时左肺萎陷以利切除。

胸外科团队在进行手术
手术于4月2日进行。手术中,胸外科小心仔细地将肿瘤安全地与大血管分离。在左侧主体分离时,发现与心包和左肺上叶肺门粘连,为了保护肺门,完整切除肿瘤,手术团队需要切除部分心包和肺组织。为了解决面临的粘连问题,医生横劈胸骨,将切口转为“T”字切口,然后在胸腔镜辅助下分离肺组织和肿瘤。最终,手术团队安全切除左肺上叶舌段静脉、部分左肺上叶及心包,成功完整切除肿瘤。整个术中未发生血管破裂等大出血意外事件,心包及主动脉的操作也由胸外科医生独立完成。
术后患者恢复良好,于第3天拔除胸腔引流管后出院,病理结果考虑为神经内分泌肿瘤。
北医三院胸外科长期致力于提升胸部肿瘤的规范化、精细化诊疗流程,开展肺部外科、食管、纵隔外科及胸部创伤治疗等。肺部外科方向之一是精细化的肺叶、肺段、联合段、亚段切除手术,另一方向则是复杂化的诸如大肿瘤新辅助、袖式、双袖式切除以及局部侵犯联合多学科的手术、机器人辅助手术等。胸外科微创手术已进入发展“快车道”,复杂手术的常规开展代表了科室高水平的综合诊治能力。
两位患者手术的成功实施,不仅体现了综合医院在面对复杂疾病时的医疗水平,更彰显了医院内部多学科团队的默契配合。在手术过程中,不同专业的医疗团队齐心协力,各展其才,形成了一个高效运转的整体,保障患者健康。