2024年6月3日上午9点,北医三院泌尿外科病房,11岁的小钰(化名)摸着平坦的小腹,和大家说:“我今天就要回家啦,我要回去上学啦!”困扰了一家人近10年的“鼓鼓的小肚子”消失了。
在小钰三岁的时候,妈妈发现小钰的肚子鼓鼓的,似乎和别的孩子不太一样。经过初步诊断,发现小钰左侧肾上腺区占位性病变,长了一枚11cm的大肿瘤,病理考虑是预后较差的肾上腺皮质癌,肿瘤侵犯了血管,形成了广泛的静脉瘤栓,双侧的肺脏也疑似有转移。
然而,爸爸妈妈带着小钰,辗转多家医院,都没能为她进行手术,最终她接受了五个疗程的化疗,疗效却并不理想,小钰的状况非常差,无法继续接受治疗。医生对于小钰病情的预期也非常悲观。
在接下来的8年里,爸爸妈妈选择回避,没有再去做过任何治疗,甚至也没有再去医院检查。但小钰的症状越发明显,肚子越来越大,以至于她只能穿特别宽松的衣服,喜欢的裙子更是奢望,学校的校服裤都需要延长一截,把松紧带箍在胸口。明显隆起的腹部肿块给小钰身体和心理造成了巨大负担,严重影响生活。
2023年年底,看到很多关于罕见病的好消息和新政策,爸爸妈妈重新鼓起勇气,而这一次,小钰的核磁检查显示:腹膜后肿块已经长到了惊人的17.6*11cm,还出现了腹膜后多发淋巴结,合并腹盆腔积液。
小钰一家人来到北医三院泌尿外科,见到了张树栋主任。初步评估后,张树栋主任发现,化疗后原发肿瘤无显著的缩小,考虑化疗不敏感,家属手术治疗的意愿强烈,手术指征明确。
但小钰年龄还小,肿瘤巨大,合并双肾静脉及腔静脉癌栓,手术难度极大。为此,张树栋主任迅速启动肾癌癌栓MDT(多学科诊疗),泌尿外科、心血管内科、麻醉科、普通外科、肿瘤放疗科、肿瘤化疗与放射病科等多个科室共同参与评估,为小钰制定了详细的治疗方案。了解治疗方案后,小钰妈妈高兴地说:“太好了,九年了,我们家孩子终于有地方看病了。”
经过了一段时间的筹备和多学科论证,2024年5月16日这天,北医三院泌尿外科迎来了这位可爱、乐观、活泼的“小病号”。
详尽的术前评估结果提示,小钰的情况远比之前复杂。肿瘤体积巨大,侵入血管及周围组织,切除肿瘤并保留左肾是摆在团队面前的极大挑战。

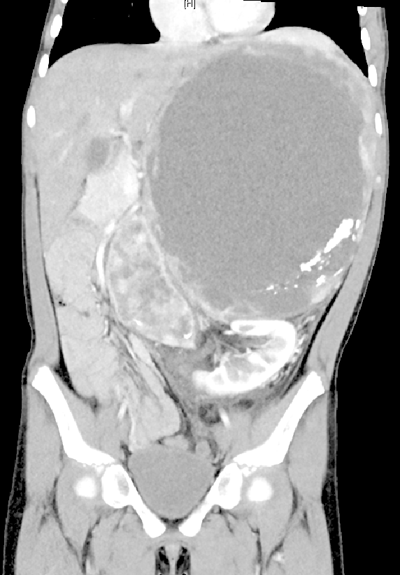
术前CT检查显示肿瘤体积巨大
MDT会诊再次启动,普通外科、危重医学科、儿科、麻醉科、放射科等科室专家评估小钰的手术方案,并完成了术前谈话,告知了小钰父母手术存在的风险。小钰的爸爸眼神坚定,他平静地说:“张主任,拜托你们了,我们想给孩子一个机会。”小钰和父亲郑重地在手术同意书上签下了名字。
5月21日,由泌尿外科张树栋主任主刀,普通外科、麻醉科、手术室多科室通力合作,为小钰进行了手术。
术中发现,巨大的肿瘤将腹腔内肠道顶起,脾脏也被顶到了中线,左肾被挤压至左下腹且与肿瘤粘连紧密。进一步探查发现,左肾静脉呈多支发育,且远端被瘤栓堵塞,部分腰静脉也受累。更糟糕的是,分离肿瘤上极发现其与膈肌、胃底紧密粘连。
张树栋主任进行了细致游离和修补,最终切开了血液回流的主干道——下腔静脉,将瘤栓完整切下,而且孩子的双肾都保住了。手术过程历经7个多小时,过程出血量不多。
得知手术顺利完成,并且保住了双肾,小钰爸爸说:“这是我们从来不敢想的,完全不敢想象会是这么好的结果!”
术后,小钰被转入危重医学科密切监护。第二天,她成功脱离呼吸机,转回了普通病房。泌尿外科、儿科、危重医学科、普通外科多个团队的医生和护士密切配合,精心照料。术后第三天,小钰开始进食,并正常下地活动。没有了腹部巨大包块的困扰,小钰和父母露出了久违的笑容。


术后查房,张树栋与小钰互动
经过10天的康复,小钰又重新变回了病房里活蹦乱跳的“小兔子”。6月3日上午,小钰背上了医务人员送上的小书包,顺利出院了。
出院后,小钰还将接受必要的后续治疗,相信在多科室的共同努力下,她一定能够早日康复,重返健康的生活,拥抱快乐的童年。

出院前,小钰和家长与医务人员合影
据了解,这种恶性肾上腺皮质癌同时合并癌栓和远处转移的情况极其罕见。医护团队以多学科评估为基础,充分发挥团队合作的优势,提供个性化的治疗方案,帮助患者克服重重困难,取得良好的治疗效果。
泌尿外科张树栋主任表示:“这是一个非常具有挑战性的病例,手术难度大,风险高。但通过多学科的合作和精密的术前准备,我们成功地完成了手术。这充分体现了北医三院MDT诊疗模式的优势和有效性,能够为患者提供更全面、更精准、更有效的治疗方案。”