52岁的杨阿姨,已经患有扩张性心肌病24年了。
目前医学上尚无根治这种遗传性心肌病的手段,随着病情进展,杨阿姨的心脏功能逐年下降,近年来反复住院治疗。3月前,杨阿姨甚至发生了一次恶性心律失常导致的猝死,经历了心肺复苏抢救。
为了解决自己的“心病”,4月下旬,杨阿姨在家人陪同下,从云南来到北京大学第三医院心血管内科李蕾主任医师的门诊就诊。经评估,患者心脏情况不容乐观,左心室已经扩张到了64mm(正常成年女性≤50mm),左室射血分数下降到25%(正常成年人≥50%),心脏室壁明显变薄,而且合并了严重的纤维化。结合全身情况,考虑患者已进入到心力衰竭终末期。
治疗刻不容缓。心血管内科建议在抗心衰药物治疗的基础上使用器械治疗,首选方案为植入“人工心脏”,次选方案为尝试通过心脏起搏器改善心功能并行心律保驾(CRT-D治疗)。
因顾忌手术创伤,患者与家人再三商议后决定尝试心脏起搏器。但在起搏器手术当日,仅因精神紧张,患者心功能再度恶化,出现严重呼吸困难及明显的低氧血症,当日便转入心血管内科重症监护病房(CCU)抢救。
考虑患者心功能已进入晚期阶段,难以再经受其他打击,孙丽杰主任医师再次与杨阿姨及家属沟通,分析利弊。患者反复住院并依赖于强心药物维持,轻微情绪波动即可诱发心力衰竭急性发作,如不及时进行更为积极有效的治疗,后果不堪设想。最终杨阿姨接受了“人工心脏”植入方案。CCU团队争分夺秒,开始心力衰竭的强化治疗,争取最佳的手术状态和时机。
然而,患者心功能的脆弱程度超乎所有人的预料。在“人工心脏”植入术前的抗心衰治疗过程中,患者对抗心衰药物治疗几乎没有反应,大剂量利尿,扩血管,强心治疗,持续无创呼吸机辅助通气,病情仍持续进展。雪上加霜的是,患者又出现了肺部感染,治疗过程中发作了快速心室率房颤,心率高达220次/分,频发室性早搏、短阵室速,病情急转直下,意味着患者交感电风暴的来临,随时可能危及生命!
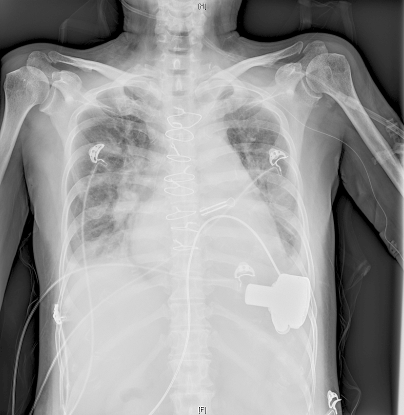
心血管内科崔鸣主任带领CCU团队讨论后果断决定为患者进行植入体外膜肺氧合(ECMO)暂时旷置心脏,规避因为电风暴带来的无休止室速和室颤的循环崩溃,同时通过主动脉内球囊反搏(IABP)减轻心脏负荷,联合气管插管进行深度镇静下辅助呼吸。CCU团队用尽所有利器,病情仍然不可逆地进展到需要器械辅助治疗阶段,意味着“人工心脏”迫在眉睫。ECMO植入的次日,心脏中心组织专家集体讨论为患者植入“人工心脏”的时机。
然而,就在专家们讨论的同时,患者被ECMO旷置休息的心脏反复发作室颤,病情急转直下。心血管内科崔鸣主任、心脏外科凌云鹏主任等专家仔细分析患者情况,长达24年的心衰进展到不可逆的急剧恶化,如果再拖延下去,生命岌岌可危。
“人工心脏”植入的窗口正在关闭,机会稍纵即逝!心脏中心迅速组织“人工心脏”团队讨论,由于患者临床状态差,手术难度大,失败风险很高……好在患者除心脏外其他重要脏器功能均完好,手术风险虽高,但心脏替代治疗后仍有为她搏出一个奇迹的可能性。时间不等人,在与家属做充分沟通后,“人工心脏”团队马不停蹄地积极术前准备,当日夜间为患者进行急诊“人工心脏”植入术。“接力棒”由心血管内科交至心脏外科手中。
4月24日晚6点,在有创呼吸机、ECMO及IABP保驾下,患者由心脏外科和心血管内科医师共同护送至手术室。手术医师、麻醉医师、手术护士等各方术前准备迅速又有条不紊地进行:血管穿刺、留置经食道超声探头、“人工心脏”装置的装配与调试、麻醉及镇静镇痛药物的调整、手术器械的准备……
手术的过程非常艰苦,长期的慢性心衰加上急性加重的病程使得患者的心脏室壁菲薄,周围组织水肿明显,同时凝血物质的长期消耗也给止血带来了极大的挑战。
凌云鹏主任带领团队小心翼翼地将“人工心脏”的泵头缝合至心尖位置,将“人工心脏”另一端与主动脉相连接,开机调试。随着“人工心脏”开始工作,患者逐步脱离了对体外循环、ECMO及IABP的依赖。长达10个小时的手术结束,患者被转运至心脏外科重症监护病房时,天已蒙蒙亮。

为患者成功植入“人工心脏”
手术成功仅仅是万里长征的第一步,心脏外科重症监护团队无数个日夜守护在患者床旁,根据超声影像和血流动力学指标一点一滴地调节着左室辅助装置的流速、流量,静脉用药。面对感染、凝血异常、下肢血栓、坠积性肺炎、急性肾损伤等接二连三的挑战,团队沉着应对,果断采取了气管切开,俯卧位通气等方式,患者转危为安。
接二连三的打击使得杨阿姨瘦了整整10kg,营养状况差,四肢肌肉萎缩,无法脱离呼吸机,而人工心脏植入的目标不仅仅是“活下来”,更重要的是让患者提高生活质量,重新回归社会。
心脏外科和心血管内科团队为患者制定了营养支持方案和康复锻炼计划,帮助患者进行床上康复训练和呼吸锻炼。杨阿姨在2个月的时间里,顺利闯过营养关及康复关,摆脱呼吸机支持,能够自主下地活动,病情恢复满意,6月17日顺利出院。

出院前与医务人员合影
心力衰竭是心血管疾病领域的最终战场,是迫切需要被攻克的堡垒。近年来,心力衰竭药物治疗领域虽已取得一定进展,但终末期心衰患者的治疗仍十分困难。心脏移植为终末期心衰患者常用的治疗手段,据统计,我国终末期心衰患者数量已达百万,但每年心脏移植的供体不足千例。
“人工心脏”——左心室辅助装置的出现为众多终末期心衰患者带来了生的希望。植入“人工心脏”可为终末期心衰患者争取到更多等待心脏移植供体的时间,或长期保留,携带“人工心脏”长期生存。
成功救治杨阿姨,体现了北医三院心脏中心的实力,更彰显出医者的坚持、担当和勇气。心脏中心多学科通力合作,更好守护患者心脏健康!