新闻中心

当前位置: 首页 > 新闻中心 > 最新医讯 > 正文

国产机器人辅助生物型全膝关节置换翻修术在北医三院骨科完成

作者:王鑫光 来自:骨科 时间:2025-06-17 文章点击率:

2025年6月3日,北京大学第三医院骨科关节外科田华主任团队在手术机器人系统辅助下,使用3D打印生物型假体,为一例膝关节置换术后无菌性松动患者进行了膝关节置换翻修术。手术过程顺利,患者术后5天顺利出院。该术式是国产手术机器人进行关节置换翻修术的首次临床应用。

手术中

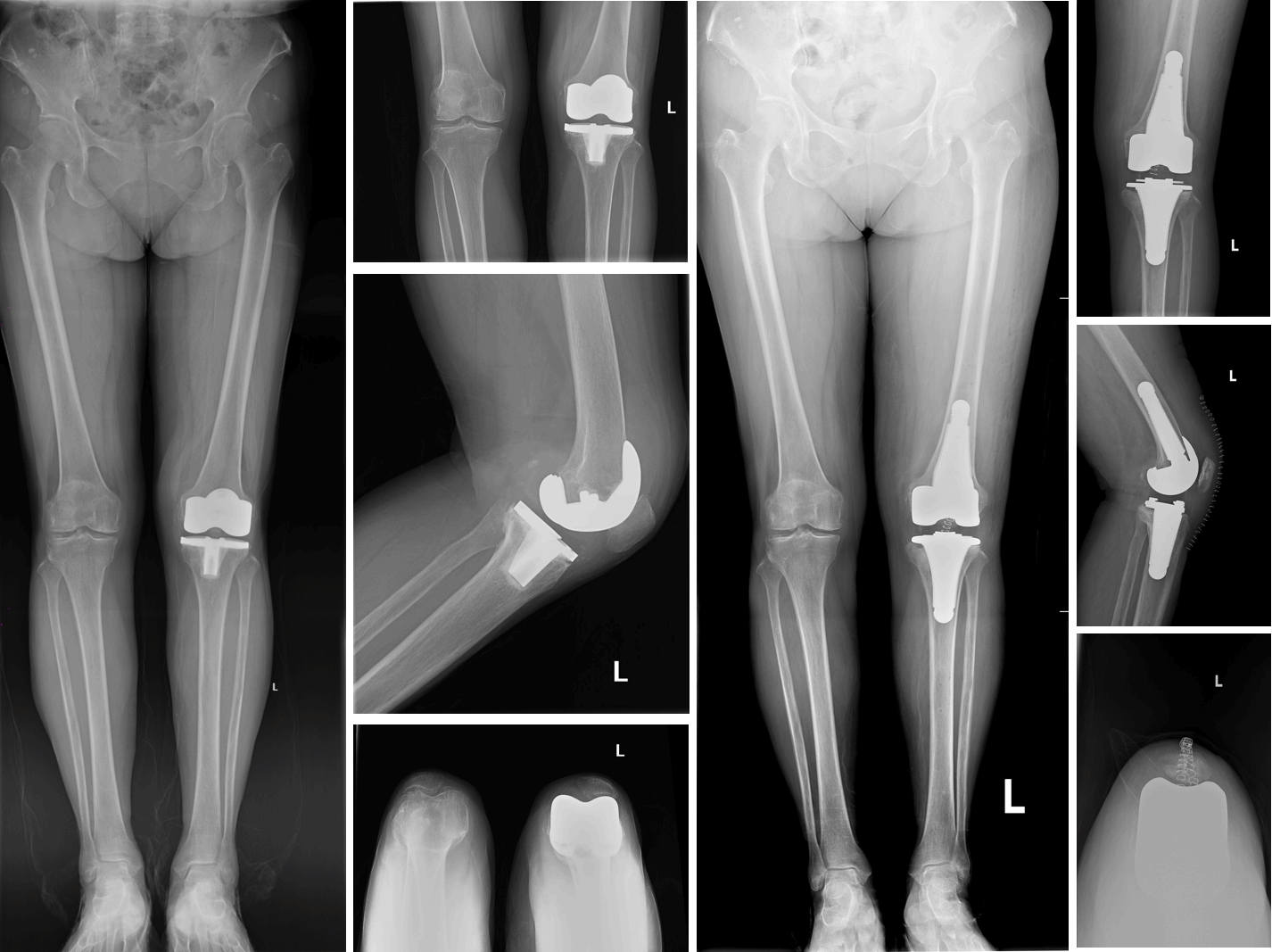
患者是一位73岁的女性,6年前因膝骨关节炎于当地医院行左膝关节置换术,之后因为膝关节置换术后无菌性松动,左膝关节已经疼痛1年余。该手术使用的3D打印生物型膝关节置换翻修假体系统,融合了3D打印钴铬钼合金和3D打印钛合金等金属增材制造技术,根据患者影像学数据进行了个性化定制,确保在干骺端区域有良好的稳定性,且操作简单。该系统实现了生物型固定(髌骨假体除外),具有良好的骨长入性能和远期稳定性。

术前影像与术后影像

3D打印生物型膝关节置换翻修假体系统

术前,团队利用机器人系统进行三维建模,直观了解患者的骨质情况,制定了合适的术前规划。系统支持术者在术前与术中灵活调整规划方案,确保了力学对线的精准性和软组织的平衡。术中,机器人系统实现了带假体和去假体两种模式下的精准注册配准,并辅助完成了引导截骨、假体植入、力线对齐和间隙平衡等多个关键步骤,保证了手术操作的精准可控。这一技术的应用 ,标志着手术机器人技术在复杂翻修领域取得了重要突破。

术前规划界面

该项目获得了北京市科学技术委员会医药创新品种及平台培育项目资助,由北京大学第三医院骨科关节外科牵头,与行业领先企业合作,通过医工结合和产学联动,将膝关节置换翻修术化繁为简,从依赖经验性,向数字化、可视化和智能化方向推进,未来将惠及更多膝关节疾病患者。