8月26日,心血管内科韩江莉主任医师带领介入团队完成我院首例严重造影剂过敏患者的零造影剂血管内超声(IVUS)指导冠状动脉支架术,在左前降支成功植入1枚支架,有效地缓解了患者心绞痛症状。
近日,一位既往有糖尿病、高脂血症病史,因心前区不适患者到我院心血管代谢门诊就诊,王方芳副主任医师根据临床情况并结合患者前期冠状动脉CTA(CT血管造影)所显示的冠状动脉有严重狭窄,判断患者为不稳定型心绞痛,需尽快进行冠状动脉造影检查及介入治疗。但是,该患者在之前做CTA检查时曾出现严重的造影剂过敏反应,全身皮疹伴瘙痒、呼吸困难,在皮肤科住院经抗过敏治疗才逐渐好转。
常规冠状动脉介入治疗,需要注入造影剂,在射线下观察冠脉的走行和形态指导导丝、球囊和支架的输送。但该患者曾发生如此严重的过敏反应,即使尽量减少造影剂剂量、预防性抗过敏的治疗,也不能保证患者的安全,甚至会面临因严重过敏而休克的风险。
病人转诊至韩江莉主任医师。面对这种情况,韩江莉提出可考虑通过冠脉腔内影像的技术,使用IVUS来判断冠脉的狭窄程度和斑块性质,进而指导精准的手术方案,评估手术效果。
国内目前虽有零造影剂冠脉介入治疗报道,但报道的患者基本上都有前期冠脉造影的影像,而该患者无法进行常规冠脉造影,只能通过冠脉CT血管重建信息初步了解冠脉走行,这使得冠脉介入治疗的难度大大增加。
与患者交代病情,反复沟通,患者终因对这种非常规操作的忐忑犹豫,选择了药物治疗。
然而,两周后,因更加频繁发作的胸痛,焦虑和痛苦,该患者再次来到北医三院心血管内科门诊要求手术治疗。
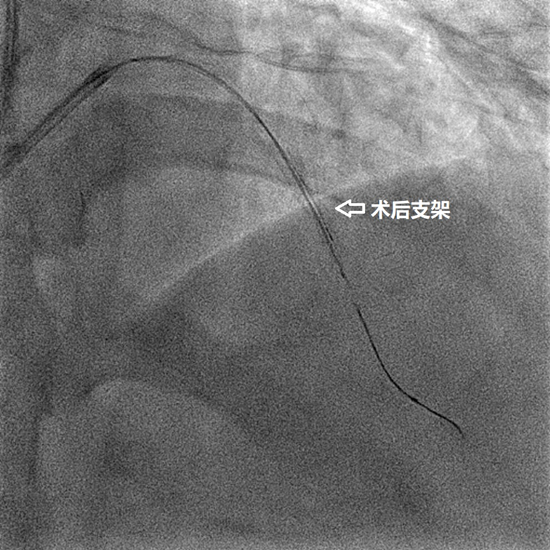
经过充分的术前准备,周密制定的手术方案,以及手术推演,8月26日下午,韩江莉顺利经桡动脉入路为患者进行了IVUS检查。结果显示,左前降支最小管腔面积仅1.86mm2,伴有270°钙化。经使用切割球囊充分预扩张后顺利植入支架。IVUS检查提示,支架膨胀及贴壁良好,无边缘夹层等情况。术中进一步对冠脉CTA报告的右冠状动脉严重病变部位进行IVUS检查,显示血管最小管腔开放面积为6.12mm2,为钙化纤维脂质斑块,提示该病变尚不需介入治疗。
手术过程顺利,全程未使用一滴造影剂,术后患者的胸痛症状完全缓解,未出现任何并发症。零造影剂的介入操作使得患者免于造影剂过敏的风险,一直悬着的心也放下了。患者于术后第三天顺利出院。
冠状动脉造影目前是诊断冠心病的“金标准”,冠状动脉支架植入术是治疗严重冠状动脉狭窄的主要手术方式之一,造影剂在常规冠脉介入术中有重要作用。然而,对造影剂过敏或者患有严重肾功能不全的冠心病患者,却往往因无法接受或不敢接受冠脉介入治疗,而长期忍受病痛。零造影剂的介入治疗相当于“盲”操作,对介入团队要求极高。术者必须具备对冠脉解剖和血管内超声图像的深刻理解,凭借熟练操作经验,借助血管内超声影像定位来完成手术。因此,使用零造影剂完成此类手术者很少。
北医三院心内科零造影剂血管内超声指导冠状动脉支架植入术的完成,一方面是心血管介入团队勇于接受挑战的担当,更重要的是为对造影剂过敏或者患有严重肾功能不全的冠心病患者提供了手术的可能。

患者出院前照片

术后血管内超声(IVUS)显示支架膨胀完全,支架边缘没有夹层,手术成功。

术后X线下支架显影