2021年12月15日,在北医三院产科、妇科、儿科、泌尿外科、介入血管外科、麻醉科以及ICU等科室专家团队通力合作下,一台特殊的剖宫产手术紧张而有序地进行。新生儿的啼哭和最终产妇平安返回病房,为这场为期3年的接力守候画上了圆满的句号。
患者是一名31岁的女性,18岁时因车祸碾压伤,导致骨盆骨折,伤后即出现闭经,并伴随进行性加重的下腹痛,几经辗转,于2018年初就诊北医三院妇科。

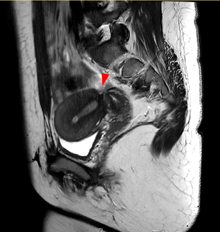
子宫重建术前盆腔核磁显示,本应完整连续的子宫体与子宫颈完全离断(红色箭头)
在妇科郭红燕主任团队带领下,韩劲松、张坤主任医师等结合病史、查体及影像学检查,发现患者子宫颈与宫体竟然在车祸中完全横断。由于当时未被发现,随着月经排出受阻,逐渐出现了闭经及经血淤积宫腔导致的痛经症状。2018年3月,患者在我院接受了腹腔镜下子宫颈-子宫体断端吻合重建术,术后患者恢复正常月经,痛经症状也明显缓解。

子宫-宫颈横断损伤,修复重建后恢复正常解剖结构示意图
时间来到2021年7月,患者意外发现自己妊娠,但早孕期超声即提示妊娠囊种植在之前子宫体与子宫颈吻合口的瘢痕上,局部宫颈肌层菲薄,且已出现胎盘植入的征象。这意味着随着妊娠进展,随时可能出现难以预测难以预防的子宫破裂、腹腔内出血,穿透肌层的胎盘植入,产时凶险的出血,母胎生命岌岌可危。

妊娠期核磁显示符合典型穿透性胎盘植入表现,胎盘不均增厚信号混杂,内见流空血管,胎盘血窦扩张,尤其是子宫左侧壁胎盘组织明显突向左侧宫旁,局部肌层消失,与宫旁组织分界不清(黄色箭头)
经过反复沟通,患者及家属表达了坚持继续妊娠的强烈意愿。
妊娠期间,产科赵扬玉主任带领王永清、魏瑗主任医师,江元慧副主任医师,妇产科超声张爱青副主任医师等制定了孕期随时可能出现危及生命的产科出血的预案,制定了继续妊娠的严密动态监测母胎变化的方案。
中孕期开始,植入的胎盘组织在子宫左侧壁、后壁及前壁均有穿透肌层的征象,子宫左侧壁胎盘组织附着部位明显外凸,血流信号汹涌,只剩一层浆膜层。一旦完全穿透、子宫破裂,子宫动脉及分支破裂将导致严重的腹腔内出血,后果不堪设想。
经过数次全科讨论和全院多学科会诊,权衡妊娠孕周和母体情况,在制定了多个科室协作的详细预案后,12月15日上午,产科终为产妇进行剖宫产手术,手术顺利。
新生儿孕周30+1周,出生体重1620g,Apgar评分10分,转入NICU加强监测。产妇出血1200ml,术后转入ICU,次日转回产科病房,并于12月22日顺利出院。

患者出院前与部分医生合影
回顾国内外文献,因骨盆创伤性骨折引起的子宫颈与子宫体完全分离极为罕见,从2000年至2020年,全球仅报道了7例相似的病例,而我院病例是首例腹腔镜子宫重建术后自然妊娠的病例。我们妇产科作为国家妇产疾病临床研究中心,基于妇科扎实的腹腔镜微创治疗技术和产科日趋完善的凶险性胎盘植入监测及管理体系,在多学科的支持下,为该罕见病例制定了个体化诊疗方案,强强联手,一路守护,最终实现了母儿平安。
