“这个病到底应该看哪个科?”
“挂了两三个科室,哪种治疗方案最适合我?”
“我下一步该怎么办?”
“试试MDT,多学科团队一站式服务!”

“手术切除能最快解除剧烈疼痛,但是生活方式会带来巨大改变。”
“如果患者存在保留膀胱意愿,可考虑同步放化疗方案,但要做好挽救性膀胱全切的准备......”
4年前,孙叔不幸罹患晚期膀胱尿路上皮癌伴左侧盆腔淋巴结转移。示教室内,北医三院膀胱癌MDT团队正在围绕其病情展开深入分析。正是这一次至关重要的多学科讨论,为千里求医的孙叔提供了最佳的综合治疗方案,最终免于膀胱切除,重获健康。
初见孙叔
2018年10月,我初次在北医三院泌尿外科病房见到孙叔,他是一位50多岁的西北汉子,身材高大,但给人的第一感觉是痛苦、坐立不安,疼的恨不得掉眼泪。沟通后得知,孙叔在半年前因为小便疼痛查出了左侧输尿管癌和膀胱癌,当地医院实施了左侧肾输尿管全长切除术及膀胱肿瘤切除术,术后病理提示为尿路上皮癌。
手术后,原以为一切恢复正常,但生活却给他开了个玩笑。出院4个月后,他便出现左腿疼痛,同时伴有尿频、尿急、肛周不适,病情发展迅速,在当地复查后提示肿瘤已经转移到了盆腔,一个5cm左右的淋巴结正好压在他的左侧髂血管和神经附近,进而引起了左下肢的剧烈疼痛。
不屈的性格让他选择了坚强,不远千里赶来北京,找到北医三院泌尿外科主任马潞林教授。听了他的讲述,我沉默了,看着眼前这个坚强的西北汉子,我多么想说几句能够安慰他的话,可是我的理论知识和临床经验又不允许我跟他讲善意的谎言。

图1 泌尿外科团队查房
孙叔住进病房前,我们就启动了由泌尿外科副主任黄毅牵头的膀胱癌MDT团队,本着对患者负责的态度,全面评估病情,为制定治疗方案打好基础。
北医三院膀胱癌MDT团队,于2018年通过医院准入,重点关注膀胱癌、肾盂癌、输尿管癌、尿道癌等尿路上皮肿瘤的综合治疗,并以电切联合同步放化疗保留膀胱(保留原膀胱)、完全机器人下膀胱全切和原位膀胱构建(重建新膀胱)为特色。团队由泌尿外科副主任黄毅牵头,成员包含泌尿外科、肿瘤放疗科、肿瘤化疗与放射病科、放射科、病理科、麻醉科等多科室专家组成。
目前,该MDT团队已为上百名患者疑难尿路上皮癌患者开展服务,通过多学科合作诊断与治疗,在先进治疗理念下,为患者提供全面的诊断和精准的个体化治疗措施,极大地解决了患者的诊疗难题。团队发表高质量SCI文章十余篇,授权多项专利,并获得多个省部级课题资助。
艰难的抉择
经过这段时间的检查,孙叔的疼痛越发严重了,虽然他在我们查房时都是面带微笑,但是持续的疼痛已经让他需要依靠止疼药维持,自己也偷偷掉泪。我们深知正在与时间赛跑,在获得全部病情信息后,立即组织膀胱癌MDT团队深入讨论孙叔的个体化治疗方案。

图2 北医三院膀胱癌MDT团队讨论中
在放射科何为副主任医师、病理科陆敏副主任医师的共同努力下,从CT、核磁检查,到膀胱镜探查,再到经尿道膀胱肿瘤电切,我们终于彻底搞清楚了孙叔的病情状态,他的膀胱癌已经侵犯了前列腺,已是T4期,且左侧盆腔淋巴结转移融合成块。幸运的是,排除了前列腺癌的可能,并尚未发生肺、肝、骨等脏器的转移。
泌尿外科主任医师黄毅认为,手术切除可以最快速度解除剧烈疼痛,但因患者半年前刚进行过左侧肾输尿管全长切除术,加之淋巴结达到5cm大小,术中粘连、血管损伤、肠道损伤风险均较大,而且切除膀胱后,尿流改道会造成生活方式的巨大变化,需与患者充分沟通利弊。
肿瘤化疗与放射病科副主任医师王墨培认为,从解除患者近期症状的角度,单纯化疗并非首选。如果患者存在保留膀胱意愿,可考虑同步放化疗方案。肿瘤放疗科副主任医师王皓、彭冉医师表示,根据既往文献,针对T4期膀胱癌,同步放化疗方案的膀胱保留率达到80%,且每次治疗仅几分钟,能够保障患者的舒适性和耐受性。但还要注意观察肿瘤控制情况,一旦出现局部复发,即需做好挽救性膀胱全切的准备。
综合各学科建议后,泌尿外科主任马潞林进行了总结:依据目前患者的情况,根治性膀胱全切手术或同步放化疗均可选择。由于风险均较大,需要充分结合肿瘤控制、生活质量等方面全面评估。泌尿外科既往开展过放疗后膀胱全切手术,虽然手术难度明显增加,但是结合细致的解剖分离和扎实的手术基本功,安全有效实施手术是可行的,泌尿外科可以为挽救性膀胱全切提供坚强后盾。
我们将孙叔和他的爱人叫到了办公室,可能是因为预知到了什么,这次孙叔显得格外紧张。在初步了解MDT团队的意见后,他们陷入了沉思,这时气氛寂静的有些压抑......突然,他心事重重地问我:“毕大夫,如果我选择了放疗保留膀胱,以后你不会不管我了吧?”
这句话令我很触动,分科诊疗、跨科治疗确实会让患者有一种要被医生推走的不安全感,而如今的MDT诊疗模式就是为了消除各科之间的鸿沟,真正做到贯序诊疗。“孙叔,放心吧,无论你去哪个科治疗,你都是我的患者。”
我将同步放化疗保留膀胱的治疗方案、目前文献情况、可能的并发症、后期预后情况以及如果行挽救性膀胱全切的可能情况都告诉了他,谈话历时半个多小时。我不知道他听进去了多少,但是从眼神里,能看出他对生命的渴望和坚定。
最终,孙叔说:“我相信咱们医院,我选择保留膀胱治疗。”这沉甸甸的一句话,是他经过了万千思考后的选择,更是对我们膀胱癌MDT团队的信任。我心里也暗暗下决心,无论结果如何,都要尽最大可能为他努力一把,这也许就是我们尊重他、尊重生命的最好回应。
预料之外
转入肿瘤放疗科后,孙叔的症状在进一步加重,肿瘤的主体已经向侧盆壁扩散,同步放化疗加热疗的方案正式实施。肿瘤放疗科系统规划了放射治疗的靶区范围、预防范围、处方剂量及频次,热疗加热范围及频次。肿瘤化疗与放射病科制定了同步化疗直至放疗结束的具体实施方案。
世界医学之父希波克拉底曾经说过:医生的三件法宝是语言、药物和手术刀。我们除了争分夺秒地开始治疗,多交流、多沟通更是一剂良药。

图3 肿瘤放疗科实施治疗
在漫长的接近两个月的同步放化疗过程中,孙叔先是下肢疼痛逐渐减轻了,服止疼药量越来越低,在放化疗结束时盆腔和下肢疼痛已经基本缓解。
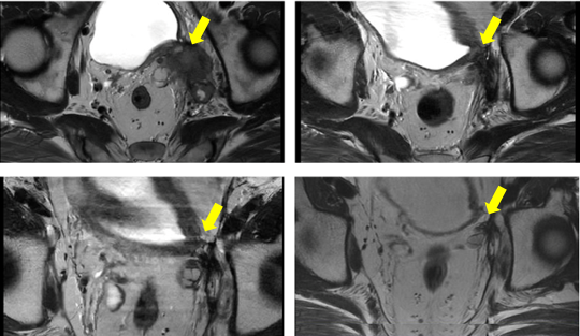
首次复查时,虽然我们预料到效果会不错,但是没有想到肿瘤基本完全消失了。为了避免肿瘤再次复发或新出现远处转移,孙叔开始规律随访,在随后的3年都没有出现新发肿物,他的病情得到了非常好的控制。

图4 连续随访图像
左上:治疗前 右上:治疗后1月
左下:治疗后1年 右下:治疗后3年
2019年,孙叔开始了新的生活,开始自驾游,带着自己的夫人走遍大江南北,要为自己再活一次。考虑到既往曾有随访5-10年期间仍有肿瘤复发的报道,孙叔还需要长期随访观察。

图5 2022年开心擦车的孙叔
回顾孙叔的这一路治疗,其实过程并不顺利,经历过恶心、呕吐、腹泻等主观痛苦的感受,无论如何患者和家属给予了我们全体医疗团队百分之百的信任,不折不扣地完成医生的要求,完全支持治疗方案的调整。幸运的是,所有的努力没有白费,最终取得了极佳的疗效,我们也对此感悟良多:
首先,抗肿瘤治疗需要多学科的医生终生学习,也需要患者充分的信任和良好心态。其次,正确认识抗肿瘤治疗的副作用,医师要尽可能把控那些不可避免的人体正常器官或组织伤害,患者也需要保持坚强意志力。第三,放疗后膀胱全切一直被认为是相对禁忌症,结合机器人辅助腹腔镜手术,我们团队已为出现这种情况提供了强大技术保障,使患者在控制肿瘤的同时,切实获得了更好的生活质量。
这种治疗模式和理念是马潞林主任所一直倡导的。目前,泌尿外科牵头的MDT就有三个,包括肾癌伴静脉瘤栓MDT、前列腺癌MDT和膀胱癌MDT。“临床专业的分众化造成一定局限性,多学科拧成一股绳就显得尤为重要,能够提升疑难杂症治疗水平,帮助作出正确的诊断,达到最佳的治疗平衡点。”
肿瘤就好比毒蛇,对病情错综复杂,有极高手术风险的肿瘤患者,综合医院多学科团队协作的临床治疗模式有希望把毒蛇“连窝端”。多学科团队好比“八仙过海各显神通”,在综合各学科意见的基础上,为患者提供全方位、个性化、连续性、高质量、可执行的诊疗方案。