“这个病到底应该看哪个科?”
“挂了两三个科室,哪种治疗方案最适合我?”
“我下一步该怎么办?”
“试试MDT,多学科团队一站式服务!”

两年前,38岁的张先生压根没有想到,自己的肠镜病理报告上竟赫然写着“直肠腺癌”四个沉甸甸的大字。作为家里的顶梁柱,他从来没有想过恶性肿瘤这个疾病会早早地降临到他的身上。
在北医三院胃肠肿瘤MDT团队联合攻坚下,精准诊断张先生患有少见的林奇综合征,并成功为其实施术前新辅助免疫治疗和根治性手术,彻底根除了距肛门10cm处的巨大肿物。
经过近两年的随访,均未见肿瘤复发征象,如今的张先生已经找回了健康的生活。
仅有少量便血 竟确诊进展期直肠癌
2020年6月,平常身体健康的张先生发现自己有点便血,由于看过肠癌科普宣讲,虽然曾经有过混合痔,为了以防万一,他还是选择尽早就医。
当肠镜检查的医生告诉张先生:“直肠距肛门10cm处可以看到一个巨大的肿物,感觉不太好。”一字一句宛如千斤重担压在了他的心头。当几天后看到病理结果,他感到原本平静的生活将要天翻地覆。“为什么是我?”“听说直肠癌有可能保留不了肛门?”“新冠期间是不是住院特别困难?”“直肠癌是不是预后特别不好?”无数个问题在他的脑海中划过。
怀着无比沉重和忐忑的心情,张先生来到了北医三院普通外科孙涛主任医师的门诊。
经过查看检查资料和问诊,孙涛为张先生详细介绍了治疗的初步考虑,安慰他放平心态积极应对,三院的胃肠肿瘤MDT团队可以提供最佳的综合治疗建议。开具住院通知单、完善新冠筛查后,张先生住进了普通外科病房。
综合评估明确病情 MDT团队协同攻坚
直肠癌通常起病隐匿,许多患者在出现便血等症状时已经处于进展期。随着术前检查陆续完善,结果显示张先生的情况并不乐观,其直肠癌肿瘤体积巨大并且已经侵透直肠全层,出现了多发淋巴结转移,直肠系膜内的血管也受到了肿瘤的侵犯。“患者的肿瘤已经属于局部晚期,如果直接进行手术治疗,术后出现肿瘤复发和远处转移的风险很高。”孙涛说。

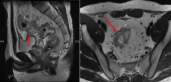
图1 核磁共振检查可见直肠及乙状结肠巨大肿瘤,与膀胱关系密切(T4期)(左图箭头);核磁共振检查可见肿瘤侵出直肠系膜(右图箭头)并伴有多发系膜淋巴结转移(N+)
为了最大可能降低复发风险,经过与张先生沟通,孙涛立即申请启动由北医三院副院长、普通外科付卫教授牵头的胃肠肿瘤MDT团队,共同讨论制定个体化治疗方案。
北医三院胃肠肿瘤MDT团队,于2018年通过医院准入,聚焦晚期结直肠癌的转化治疗、转移性结直肠癌的综合治疗、局部复发性结直肠癌的综合治疗、局部进展期结直肠癌的联合脏器切除、局部进展期直肠癌的全程标准化治疗、结直肠癌微创手术以及低位直肠肿瘤的保肛手术等领域。
团队由医疗副院长、普通外科付卫教授牵头,成员包含普通外科、肿瘤化疗与放射病科、肿瘤放疗科、放射科、消化科和病理科专家组成。
目前,该MDT团队已为超过300名结直肠癌患者提供标准化、规范化、微创化诊疗服务,在结直肠癌的多学科协作诊疗方面积累了丰富经验。团队还在Science、Cancer Cell等核心期刊发表高水平论文20余篇,承担多个国家、省部级科研项目。

图2 胃肠肿瘤MDT团队讨论
精准诊断是重中之重。来自放射科的杨琼副主任医师详细解读了患者胸部CT、肝脏核磁、直肠核磁和腹盆腔增强CT的结果。幸运的是,张先生目前并没有出现肝、肺等脏器的远处转移表现,但是直肠局部已经侵透浆膜侵犯到了毗邻的其他位置,同时肠周有明显的淋巴结转移。
肿瘤化疗与放射病科马力文主任医师、肿瘤放疗科王皓副主任医师结合患者的检查提出了重要的治疗建议:患者目前属于局部进展期直肠癌,根据目前国际和国内的指南建议,应当接受术前新辅助放化疗治疗,也就是在手术之前先进行放疗+化疗的策略,使肿瘤缩小从而降低手术难度和术后复发的风险。
考虑到患者为青壮年,其母亲也有结肠癌的病史,病理科郭丽梅副主任医师等团队专家均高度怀疑患者可能是少见的家族遗传型结直肠癌——林奇综合征,应对肠镜病理进行进一步的检测。而正是这一建议,为张先生的术前新辅助治疗带来突破口。
最终,免疫组化染色和基因检测结果印证了MDT团队的猜想,病理提示为微卫星不稳定直肠癌,基因检测符合林奇综合征诊断!
接力治疗效果明显 患者肿瘤彻底根除
林奇综合征在结直肠癌患者中占比较低,国内外的研究发现,这类患者对于免疫检查点抑制剂的治疗具有很好的反应性。免疫检查点抑制剂是近年研发的一类新型抗肿瘤药物,不同于传统的放化疗,其作用在于抑制肿瘤或者淋巴细胞表面的特异性靶点,激活人体自身淋巴细胞的抗肿瘤作用,进而消灭肿瘤,这种治疗方式也称为免疫治疗。
由于免疫检查点抑制剂出现的时间较短,虽然已有一项临床研究显示林奇综合征患者在术前接受免疫治疗具有良好的效果,但多数针对结直肠癌术前免疫治疗的研究仍处于临床实验阶段,并且临床指南的制定一般都存在滞后性,目前国内和国际结直肠癌指南尚未明确推荐术前的新辅助免疫治疗。对于张先生而言,术前的免疫治疗可能为他带来更好的治疗效果,但这一尝试存在一定风险。
在充分听取团队对于目前病情、国内外最新研究进展和治疗建议后,张先生最终选择了尝试术前新辅助放化疗联合免疫治疗的策略。MDT团队随即为其制定了详细的治疗计划,不同学科开始了接力式治疗。
第一棒:术前新辅助治疗
在肿瘤化疗与放射病科主任医师曹宝山,肿瘤放疗科副主任医师王皓主导下,张先生接受了术前新辅助放化疗联合帕博丽珠单抗的免疫治疗,治疗过程顺利。治疗结束后的评价结果让MDT团队专家十分欣慰,放射科陈明医师阅片后考虑,张先生的直肠肿瘤病灶有了明显的消退,这意味着术前新辅助治疗取得了满意的效果。

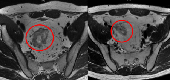
图3 患者治疗前后肿瘤对比。治疗后(右图红圈)较治疗前(左图红圈)肿瘤明显退缩。
第二棒:根治性外科手术
治疗的接力棒交到了普通外科手中。根治性外科手术是直肠癌治疗的关键环节,也是根除肿瘤最为重要的步骤之一。“由于患者的肿瘤属于局部晚期,存在外侵,且接受过局部的放疗、化疗、免疫治疗,会使得局部组织出现瘢痕、水肿、粘连等,增加了手术的操作难度。”孙涛介绍,结合患者实际情况,普通外科胃肠专业组制定了详细的手术及术后康复计划。
“不用担心,睡一觉手术就做完了。”麻醉前,孙涛鼓励患者。2020年10月,孙涛手术团队为患者成功实施腹腔镜直肠癌低位前切除手术和末端回肠预防性造口术,对肿瘤进行根治。

图4 普通外科孙涛团队手术中
术后病理结果为张先生和整个MDT团队带来了期盼的好消息,术前新辅助治疗取得了极佳的效果,患者的直肠癌完全消退,切除的肠道组织中已经没有明显的癌细胞残存。这意味着患者的肿瘤组织已经被完全杀灭,从而实现了肿瘤的完全缓解,术后远期肿瘤复发、转移的风险也大大降低。
在医护团队的悉心照料下,张先生逐渐恢复饮食,于一周后顺利出院。2021年2月,进行造瘘还纳手术后,彻底恢复了正常生活。
在随后的两年里,胃肠肿瘤MDT团队为张先生定期复查,没有发现肿瘤复发的迹象,晚期肿瘤的阴霾已经渐渐散去了。
由于林奇综合征为家族遗传性疾病,患者的兄弟姐妹及子女均存在罹患结直肠癌的风险,MDT团队还为张先生的亲属进行了相关知识科普,并制定了详细的家族筛查和随访指导计划,实现潜在新发肿瘤的早诊早治。

俗话说“一个篱笆三个桩,一个好汉三个帮”。医生在临床工作中并非单打独斗,医患携手合作是战胜病魔的重要因素之一。“目前的医学技术还很局限,恶性肿瘤的治疗存在着许许多多的困境和不确定性,各个学科的医生都希望能够尽自己最大的努力去挽救患者的生命和改善预后,而年轻患者更是家中的顶梁柱,拯救一位患者,就是拯救一个家庭。”孙涛说,结直肠恶性肿瘤患者从就诊到治疗,通常面临多科室反复就医的问题,胃肠肿瘤MDT团队的成立很好地解决了这一问题。
“无论哪个科室接诊了复杂的结直肠癌患者,都会启动我们的MDT,团队站在患者角度,在充分权衡利弊后,为患者及时提供最佳的个体化治疗建议。”