“纵有墨池千支笔,也难尽书感受情!”2022年9月8日,73岁的张先生出院前激动地与医护人员合影留念,并写下了这句诗,表达对医护团队的感激之情。
时间回到8月25日下午,张先生突然感到胸口疼痛,很快就出了一身的冷汗。他意识到问题不妙,赶紧拨打120呼救。急救车接到了依然疼痛难忍的张先生;他被送到了北京大学第三医院急诊科。
急诊科第一时间为张先生进行了心电图检查,诊断为极高危大面积心肌梗死,立即启动了急性胸痛绿色通道。

患者发生室颤
急诊科迅速联系了心血管内科韩江莉主任医师,介入团队即刻就位,此时距离张先生到达急诊还不到5分钟。而就在这时,张先生突然意识丧失、心脏骤停!
急诊抢救室的医护人员立即进行抢救,并迅速将患者送至心导管室,韩江莉、何立芸立即为患者植入主动脉内球囊反搏(IABP)维持循环,并行冠状动脉造影,证实了给心脏供血最重要的主干道——冠状动脉的左主干几近闭塞。患者反复室颤,病情极不稳定。介入团队在心外按压、反复多次电除颤、气管插管、呼吸机支持下为患者精准实施了左主干支架植入,打通了生命主干道。
但是患者的“”电风暴”仍在持续,心跳和血压仍不能维持,介入团队果断启动体外膜肺氧合(ECMO)支持,心脏外科杨航副主任医师迅速到位,为患者置入ECMO。在ECMO和IABP的支持下,患者的血压、心跳终于稳定下来。整个救治过程长达1小时,患者心脏骤停次数多达17次。这种情况下,参与抢救的医务人员始终坚持,没有放弃挽救生命的任何机会。

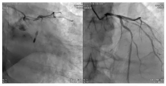
左主干次全闭塞 左主干开通后
术后,张先生在心血管内科重症监护病房进行进一步治疗。虽然成功开通了血管,却依然需要面临大面积心肌梗死之后的重重考验。

围绕在患者床旁的设备(呼吸机、ECMO、IABP、超声心动图)
心血管内科监护病房的陈宝霞、陈少敏等医生团队和于桂香护士长带领的护理团队每天密切关注张先生的病情变化,调整治疗策略。由于心肌梗死面积大,张先生的心脏出现微破裂,万幸的是,破裂口被血凝块堵塞而没有出现心脏压塞。在此后的住院期间,张先生还经历了心源性休克、消化道出血、肺部感染、凝血功能障碍等重重挑战。
在医护人员昼夜不停地全力救治下,张先生的病情终于逐步好转,于8月29日成功撤除ECMO,8月30日成功拔除气管插管,8月31日成功撤除IABP。经过两周的精心治疗,9月8日,张先生康复出院。出院前,他激动地和医护人员合影留念,并挥笔写道:“纵有墨池千支笔,也难尽书感受情!”

患者手写的感谢信

患者与医护人员合影
左主干闭塞,俗称“寡妇病变”,是急性心肌梗死中最为危急的情况,病情极度凶险,大部分患者没有机会到达医院,或在到达医院快速进展为心源性休克、恶性心律失常而死亡,死亡率高达90%以上。
张先生的成功救治,得益于以下几点:患者在发病40分钟就到达医院,如果在院外发生心脏骤停,救治成功的机会极低;“时间就是心肌,时间就是生命” ,心血管内科介入团队在导管室持续高级心肺复苏下开通冠脉,快速恢复冠脉灌注,极大程度地挽救了心肌,同台IABP联合ECMO辅助保障了循环支持;急诊科、心血管内科、麻醉科、心脏外科等团队协作,监护室医护人员对患者病情的密切观察、精心救护、康复训练等综合治疗助力患者快速康复出院。