17岁的小曹从小不爱运动,日常活动之后很容易感到疲惫,但自己一直没太在意,父母也没有当回事。随着小曹一天天长大,这种症状也越来越明显,直到有一天,在进食较多食物后,他感觉恶心、胸闷、胸痛。
在当地医院检查时,医生告诉小曹,他胸腔内长了一个巨大的“肿瘤”,严重压迫了心脏和左肺,同时心包还有大量积液,病情危急,这个结果把全家人吓了一跳。考虑到患者病情严重,家人遂带小曹来北京就诊,并于10月11日慕名来到我院。

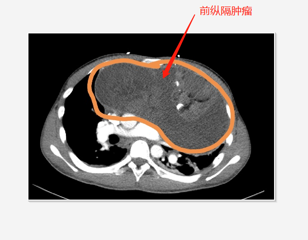
小曹先首先就诊急诊科。经胸外科马少华主任、心脏外科赵鸿医师等联合会诊,小曹被诊断患前纵隔巨大肿瘤,肿瘤直径约20cm,畸胎瘤可能性大,但不排除恶行可能。当天心脏外科医师在急诊室先给小曹进行心包引流,以减轻其心包填塞的症状。
10月12日,小曹被收入胸外科病房。经过充分的术前准备,10月14日,在手术室、麻醉科的支持保障下,胸外科联合心脏外科为小曹手术。胸外科刘丹丹、王京弟医师和心脏外科赵鸿医师,经过近7小时的努力,完整切除了患者胸腔前纵隔肿瘤,进行了心包开窗,并清理了积液及纤维素包裹,同时保护了与肿瘤紧密粘连的主动脉、肺动脉、上腔静脉等大血管,这些大血管未发生损伤出血。
得知手术进行得很顺利,小曹的父亲和母亲紧紧握着医生的手,一边流泪,一边不住地说“谢谢,谢谢……”
术后小曹恢复顺利,感觉呼吸和活动都轻松了很多,并于10月21日顺利康复出院。
