我们常说,医学是有局限性的,但追求科学进步的脚步却永不停歇。2020年,北医三院又有一批新的医疗技术,经过严格的审批和长期观察,转为常规技术普及应用。新技术带来新的希望,让我们来看看这些技术都有哪些吧~
项目团队:北医三院心血管内科

2020年医疗技术创新奖二等奖
技术名称:冠脉瞬时无波形比值(iFR)测定
项目负责人:郭丽君(右四)
团队成员:何立芸、崔鸣、王贵松、张永珍等
从1名患者的治疗经历谈起
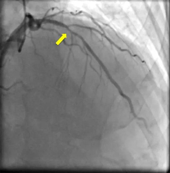
62岁的于大妈是个老病号了,不仅患有高血压和高血脂,而且还有严重的哮喘病,一年内就因为哮喘急性发作反复住了好几次医院;更不幸的是,这两年于大妈又添了个胸痛的毛病,虽然吃了不少药,可是胸痛的症状却越来越重,每次都要持续十来分钟才能缓解。于是,她慕名来到了北医三院心内科,冠状动脉造影发现,于大妈冠状动脉中的前降支狭窄了70%。
冠状动脉狭窄30%至70%属于冠脉临界病变,在有些患者中可能会导致心肌缺血,应该植入支架来缓解症状并降低心肌梗死和死亡的风险;而在另一些患者中,这种程度的狭窄则不会导致心肌缺血,如果放了支架,不仅会增加治疗费用,还不能缓解患者的症状,并增加手术风险和术后支架内血栓的风险,因此是不需要支架治疗的。

冠状动脉造影
要想判断冠脉临界病变是否会导致心肌缺血,传统的方法是在冠脉造影过程中用压力导丝检测FFR,但这种技术需要通过肘部的大静脉高速输注一种扩张微血管的药物ATP,不仅操作费时,而且这种药物可能诱发哮喘发作、心动过缓或低血压,因此患有严重哮喘的于大妈不能采用FFR技术。
幸运的是,于大妈遇到了郭丽君教授团队,为于大妈采用了一种新的不需要额外使用微血管扩张药物的检测技术——瞬时无波形比值(iFR),证明于大妈的冠脉狭窄是能够导致心肌缺血的,因此为她植入了支架。从此,于大妈的胸痛就再也没有犯过了。
技术内容
iFR是一种使用压力导丝在冠状动脉造影术中进行的用于明确冠脉临界病变是否会导致心肌缺血的检测方法,用于指导冠脉临界病变是否需支架治疗。检测时仅需将一条压力导丝送入冠状动脉即可立即得到检测结果。

iFR检测
与传统方法相比,iFR检测同样准确,但测量流程更简单:
①不需要额外的静脉穿刺,减少了患者痛苦;
②不需额外使用微循环扩张药,避免了药物带来的不良反应;
③适用人群更广,特别是那些存在ATP禁忌证或不能耐受的患者,如哮喘、严重COPD、心动过缓、低血压等,
④缩短了手术时间。
此项技术适合哪些患者?
1. 冠状动脉造影显示冠状动脉临界狭窄(30%~70%),无心肌缺血的无创检测证据,或造影结果与无创检查结果不一致的患者;
2. 冠脉造影显示存在多支血管病变需要功能学血运重建的患者。
iFR技术操作简便、检测快捷、无需额外使用药物或静脉穿刺,避免了药物的副作用,适用人群广泛,能够准确地评价冠状动脉临界病变是否需要支架治疗。