近日,我院脑血管病中心由神经内科、介入血管外科、急诊科及放射科密切配合,采取静脉溶栓桥接动脉腔内治疗,成功抢救一位右侧颈内动脉急性闭塞导致急性脑梗塞的老年患者。
2018年10月7日是国庆假期的最后一天,66岁的赵大爷跟往常一样吃完早饭,准备出门散步,但8点钟左右,他突然感觉到左上肢无力,不能拿东西,同时间断出现左下肢无力,影响正常行走。家人急忙带他来到了北医三院急诊科,神经内科值班医师接诊后迅速完善颅脑CT检查排除脑出血,考虑为急性脑梗塞。患者发病时间在静脉溶栓时间窗内并符合溶栓条件,家属积极配合治疗,迅速启动静脉溶栓治疗,患者病情好转,左侧肢体肌力好转。但好景不长,患者短时间再次出现左侧肢体无力,并伴有意识水平降低,进入嗜睡状态。
介入血管外科韩金涛副主任医师接到会诊电话后迅速赶赴急诊,考虑患者头颈部大动脉急性闭塞可能性很大。此时患者发病虽已稍超传统的6小时“时间窗”,但患者颅脑核磁显示的核心梗死灶与患者临床症状存在较明显不匹配,有急诊动脉腔内治疗的手术指证。家属了解病情后表示积极配合北医三院的抢救工作并迅速签署手术知情同意书。
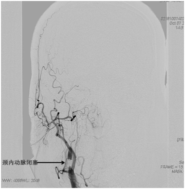
韩金涛副主任医师凭借丰富的临床经验,判断本次急性脑梗塞的根源在于右侧颈内动脉起始段急性闭塞(图1)。在从家中赶来支援的贾子昌主治医师和隋玉洁主管护师的熟练配合下,沉着而迅速进行了闭塞的右侧颈内动脉急诊成形术。历时不到1小时,患者的右侧颈内动脉得以恢复通畅血流(图2)。术后即刻,尚躺在手术床上的患者神志即恢复清醒,而且左侧肢体肌力恢复至较满意水平(图3-4)。
虽然闯过了手术关,但患者还面临着高灌注性脑水肿、梗塞灶出血转化、颈动脉支架内血栓等严峻挑战。在脑血管病中心规范化治疗下,患者病情稳步恢复,顺利渡过了道道难关,于2018年10月15日顺利康复出院,出院时mRS评分0分,即达到完全健康生活状态,避免了遭受偏瘫的厄运。
全国第三次死因回顾抽样调查和第二次全国残疾人抽样调查资料显示,急性脑梗塞已成为我国国民首位病残和病死原因,其中头颈部大动脉急性闭塞可导致大面积脑梗,重残率及致死率很高,严重威胁人民群众健康。近期,我院脑血管病中心定期举行的研讨会上樊东升教授指出,根据国内外最新指南,对部分超出6小时传统“时间窗”的急性头颈部大动脉闭塞患者,经严格评估如影像检查显示核心梗死灶(较小)与患者临床症状(较重)存在明显不匹配,发病时间在24小时以内者应积极进行急诊脑血流复通手术,患者可由此获益。这已是近三个月以来北医三院脑血管病中心成功抢救的第二例超6小时传统“时间窗”患者,标志着我院在头颈部大动脉急性闭塞导致的急性脑梗塞方面的抢救经验更加成熟和完善。

图1

图2

图3

图4