我们常说,医学是有局限性的,但追求科学进步的脚步却永不停歇。2018年,北医三院又有一批新的医疗技术,经过严格的审批和长期观察,转为常规技术普及应用。新技术带来新的希望,让我们来看看这些技术都有哪些吧~
项目团队
北医三院心血管内科

2018年医疗技术创新奖三等奖
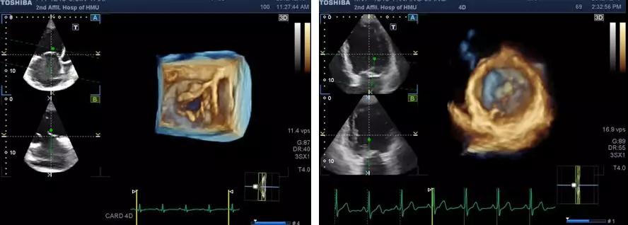
技术名称:实时三维(四维)超声心动图新技术
项目负责人:冯杰莉(第一排中)
团队成员:冯杰莉、冯新恒、李卫虹、陈少敏
从1名患者的治疗经历谈起
患者张先生,男,47岁。5个月前突发急性广泛前壁心肌梗死,在当地医院行支架植入治疗。10天前再次心肌梗死,轻度活动即感气短,到北医三院心外科住院治疗。
入院后行超声心动图检查可见左室明显扩大,心尖部形成巨大室壁瘤,左室收缩功能明显减低,左室射血分数(LVEF)28%。巨大的室壁瘤内极易形成血栓,且明显降低了左室收缩功能。左室成形术是治疗室壁瘤,改善左室结构和收缩功能以及减少血栓形成风险的有效手段,但左室成形术需要精确计算左室减少的容积,左室剩余容积过小或过大,手术改善效果都很差。
张先生的室壁瘤巨大,左室收缩功能极低,手术风险极高......术前精确的左室容积、形态及功能的评价和术后剩余左室容积及左室收缩功能的预估是手术成功的关键。
心血管内科的一项新技术,即实时三维(四维)超声心动图自动左室容积测定(4D auto LVQ)技术被采用。该项检查可清晰展示左室室壁瘤和瘤颈的形态,大小和位置,给心外科医生直观感受,可更准确的计算左室容积,LVEF。术前还通过4D auto LVQ方法,假设部分室壁瘤被切除,计算了剩余左室舒张末容积约为206ml,有明显减少,预测LVEF为44%,有明显提高,为心外科医生提供了手术效果预判断。
术中进行经食道超声心动图检查,发现室壁瘤内大量新鲜附壁血栓形成。心外科医生精确切除巨大室壁瘤,彻底清除血栓,补片缝合左心室,术中心脏复跳后即刻用4D auto LVQ技术测定左室容积从382ml减少至142ml,LVEF 38%。术后患者恢复良好,术后1个月复查,4D auto LVQ技术测定LVEDV 104ml,LVEF 54%。患者呼吸困难消失,活动耐量正常。
技术内容
实时三维(四维)超声心动图技术采用计算机技术在采集多切面二维图像的同时即刻合成获得心脏立体结构图像,并且360度旋转全方位显示心脏各个角度形态。

与传统治疗方法的区别?
心脏是一个三维立体结构,但传统的二维超声心动图仅获得心脏平面图像,不能呈现心脏的立体结构,无法准确显示结构性心脏病如房间隔缺损,室间隔缺损,瓣膜病等病变形态、大小、相对位置。此外二维超声心动图对心脏容积和功能的评价均在心脏平面的基础上采用假设的方法用数学公式计算获得,缺乏准确性。
实时三维(四维)超声心动图采用先进的计算机技术,四维探头同时获得多个心脏切面,即刻合成呈现心脏立体结构,使心脏结构显示更直观,心脏容积和功能评价也更准确。对心脏外科医生提供了更好的方法在手术前了解结构性心脏病异常结构的形态、大小、相对位置。
此项技术适合哪些患者?
心脏结构明显异常的患者,特别适用于先天性心脏病、瓣膜病、室壁瘤患者。
无创,便捷,对危重患者可床旁检查,价格低。为心脏外科医师提供更准确的临床评估信息,有利于术前手术方案的制定。