射频消融技术在脊柱肿瘤治疗中的应用
项目负责人:骨科刘晓光主任医师
脊柱肿瘤是严重威胁人类健康与生命的一类疾病,按肿瘤来源可分为原发性脊柱肿瘤和转移性脊柱肿瘤。其中,原发性脊柱肿瘤占所有肿瘤发病率的0.4%左右,而约有40%以上的恶性肿瘤的患者发生脊椎转移。晚期转移性脊柱肿瘤较为常见,常继发于乳腺癌、肺癌、肾癌、前列腺癌等恶性肿瘤的转移,表现为局部溶骨性的骨转移及软组织肿块,并由此引发顽固性疼痛,此类患者病情都属晚期,失去手术机会,传统的疼痛控制方法包括放疗和(或)化疗、阿片类及其他止痛药的使用效果欠佳,严重影响患者的生活质量。另外部分原发性脊柱恶性肿瘤如脊索瘤,放化疗不敏感,手术切除往往难以彻底切除导致反复复发,引发顽固性疼痛及神经压迫症状,而且多次复发造成再次手术困难。部分良性脊柱肿瘤如骨样骨瘤,在影像学上表现明显,但术中往往难以准确定位,手术造成大量的切除正常骨组织,创伤巨大。对于以上三类情况,CT引导下的的射频消融治疗是治疗骨肿瘤、缓解顽固性疼痛和提高生活质量的一种有效的微创方法。
脊柱解剖结构复杂,脊柱肿瘤术中出血多且难控制,术中在影像技术(C形臂X光机及超声)引导下应用射频消融技术辅助手术切除,能有效减少脊柱肿瘤术中出血,对手术难以切除部位的肿瘤消融杀灭,提高肿瘤切除率。 射频消融术治疗脊柱肿瘤,具有微创,起效快(一般痛性骨转移癌治疗后24~48小时患者疼痛明显缓解),并发症少,平均住院周期短(部分患者无需住院,住院患者平均住院日2~3天),同时术中射频消融应用减少出血,提高肿瘤切除率,从而有利于患者术后恢复及远期预后。
实施方案
(一)术前准备
1.术前常规辅助检查,确定无手术禁忌证;
2. CT增强及MRI增强检查,必要时行PET-CT检查,明确有无全身多发转移灶;
3. CT引导下穿刺病理明确诊断,或脊柱转移肿瘤,原发病灶病理明确;
4.术前BPI-C评分、VAS评分、卡氏生存质量评分;
5.签署手术知情同意书
(二)手术方法
1.CT引导下射频消融
1.1麻醉方法采用穿刺点局麻或基础麻醉(咪达唑仑及芬太尼)
1.2依照操作需要患者仰卧或俯卧于螺旋CT检查床上
1.3 CT扫描定位穿刺层面,常规消毒铺巾局麻后,CT引导下逐渐穿入骨穿针,到达病灶处,将射频电极沿骨穿针道穿入肿瘤组织,CT扫描位置满意后开始射频治疗 1.4单次射频结束后,退出射频针,退出过程中消融针道,防止播散,如需多次射频,则调整针道或另选穿刺路径进行穿刺,均在CT引导下进行
1.5对于脊柱转移癌需行椎体成形术者,射频结束后CT或C臂机引导下沿骨穿刺针向射频区域注入骨水泥,以骨水泥到达椎体边缘或出现椎旁及椎旁静脉内渗漏为终点
1.6患者清醒后由管床医师护送患者返回病房,常规抗生素应用。 2.术中射频消融治疗脊柱肿瘤
首先后路手术完全暴露脊髓及神经根,在超声或C臂引导下射频针穿入欲射频区域,大量生理盐水持续冲洗脊髓及神经根,射频消融肿瘤组织。
项目国内外动态、新颖性、创新性:
国外Osti等1998年第一次应用RFA技术治疗1例脊柱骨样骨瘤,肿瘤位于L4附件,采用RadionicsRFG-6系统,设定温度85℃,消融时间4分钟,该患者随访16月疼痛明显缓解,影像学无复发。Vanderschueren等2009年报道24例累计脊柱骨样骨瘤患者累计接受28次射频治疗是目前报道的最大宗病例。24例患者平均获得72月随访,16例患者肿瘤临近脊髓神经结构(距离脊髓神经根小于1cm),采用5mm的射频电极,设定射频温度90度,射频时间4分钟,首次射频治疗成功率79%,对射频消融术后复发或疗效欠佳者再次行消融治疗,总射频成功率96%,除1例患者复发后出现根性症状接受手术治疗外,余患者效果均满意,无操作相关并发症。作者认为对于脊柱骨样骨瘤,RFA治疗是安全可靠的,且对于复发病例再次消融仍可取得满意效果。多数作者均认为射频消融术治疗骨样骨瘤可取得与手术治疗相同效果。Rosenthal等报道四肢骨样骨瘤68例采用开放手术治疗与33例采用射频消融治疗患者的对照研究,射频消融治疗组平均获得随访3.4年,复发率约为12%,与开放手术复发率相当。
Dupuy等2000年首次报道应用射频消融技术治疗1例恶性血管外皮瘤L2椎体转移患者,该例患者椎体后缘骨皮质完整,采用Radionics3cmCool-Tip射频电极,局麻联合基础麻醉下射频消融时间设定为12分钟,无操作相关并发症发生,患者随访13月症状无复发,但出现新的骶骨转移灶。作者指出肿瘤与脊髓间完整的骨皮质及松质骨可有效防止射频过程中热能的传递,对于椎体后缘骨皮质完整者射频治疗是相对安全的。Nakatasuk等报道17例患者23处恶性骨肿瘤病灶采用射频消融联合椎体成形术治疗,有17处累及脊柱病损,其中2例侵及椎体后壁,13例侵及椎弓根, 13例主诉疼痛患者VAS评分由术前平均8.4降至术后1周1.1。原理在于:射频消融及骨水泥硬化均放热杀灭肿瘤细胞,有协同作用;射频消融后提高了肿瘤的均质性同时热凝固肿瘤内引流静脉减少椎体成形术中骨水泥泄露的风险;骨水泥提高了脊柱的稳定性。
国内09年开始有少数学者报道射频消融联合椎体成形术治疗溶骨性骨转移的初步临床报告,亦取得良好的效果,尚未有学者报道经皮射频消融治疗脊柱骨样骨瘤,术中射频消融辅助脊柱肿瘤的切除国内外均无报道,我院系首次采用,取得良好的临床效果。
医疗费用:
单次射频消融耗材约12000元,住院周期短,花费远小于开放手术。
社会效益:
射频消融术治疗脊柱肿瘤,具有微创,起效快(一般痛性骨转移癌治疗后24~48小时患者疼痛明显缓解),并发症少,平均住院周期短(部分患者无需住院,住院患者平均住院日2~3天),同时术中射频消融应用减少出血,提高肿瘤切除率,从而有利于患者术后恢复及远期预后。此技术为近年来新兴起并迅猛发展,开展此项技术可为医院增加社会受益、经济效益。
发表论文、新闻报道情况:
1 .Liu C, Liu XG, Zhu B, et al.CT-guidedpercutaneousradiofrequency ablation of spinalosteoidoeteoma. Chin Med J (Engl) ,2011,124().
2.祝斌,刘晓光.影像引导下应用射频消融术治疗脊柱肿瘤的进展.中国脊柱脊髓杂志, 2010,(06):507-511.

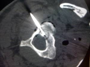
术前:VAS评分10分,CT表现齿突基底右侧占位,成骨性病变,没有明确的瘤巢。
术中


图1:CT定位下穿刺取活检 图2:定位


图3:射频电极置入 图4:取活检
术后无需制动即可活动,术后48小时出院,未服止痛药VAS评分0分。