125度颈椎重度后凸畸形奇迹般矫正

一个年仅18岁、颈椎后凸125度严重畸形的男孩小包,在病魔缠身近十年后,近日在我院获得成功救治。
据了解, 小包上小学时就开始感觉脖子疼痛,到医院拍片检查时发现颈椎有轻度后凸畸形,但外观没有太大异样,并没有引起家长的充分重视。以后发现其后颈部渐渐地鼓了起来,直到今年病情突然严重,不仅颈椎后凸明显,还出现了手脚麻木、活动不灵活、走路摇晃不稳等症状。患者在当地走访了多家医院,并采取牵引方法治疗,效果并不满意,病情还进一步恶化,抬不起左胳膊,几乎不能仰头看天,不能自行站立和行走。
7月26日小包入住我院骨科病房,颈椎组孙宇主任医师、张立副主任医师以及全体医护人员组成了一个专门的治疗小组。检查中发现,该患者严重的颈椎后凸畸形,使脊髓在椎管内受到扭曲牵拉,出现脊髓损害,逐渐出现了四肢瘫痪症状;如果颈椎后凸畸形得不到有效纠正,在头颅重量的压力下,其颈椎后凸畸形将进一步加重,脊髓损害也将持续加重,其结果就是病人瘫痪。
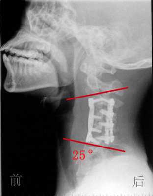
综合国内外文献资料,目前还没有发现颈椎后凸畸形如此严重的病例,且文献资料中所介绍的一次手术矫正畸形的方法大多手术难度大,矫形效果差,手术中脊髓损伤的风险极高。治疗小组决定采用循序渐进的策略,采用松解、牵引复位、最后矫形固定的方法。7月31日,首先为小包做了一个颈椎前后路联合的充分松解手术,该手术创新性地采用了一种全新的“平衡悬吊式牵引”方法,在牵引过程中,将项背部悬空,依靠头颅自身的重量,使颈椎后凸的角度逐渐缩小,通过近4周的“平衡悬吊式牵引”,病人原本125度的颈椎后凸角度已经减少到25度左右。一个半月后,治疗小组又对其进行了一次颈椎前后路的联合手术,这一次,用钛板螺钉内固定的手术方法,从前后方向将颈椎固定。
术后一个多星期,病人就开始下地活动了。由于术后消除了对脊髓的扭曲牵拉,手术前四肢活动不灵活等脊髓损害症状也得到了明显改善,病人也能比较独立自如地下地行走了。弯曲的颈椎变直以后,病人的身高还长高了几公分。
我院骨科为该例病人采用的治疗策略及手术方法,在国内是首次使用,畸形矫正的效果好。创新性地采用颈椎“平衡悬吊式牵引”方法,把原本及其复杂、风险极高的手术分解为两个十分简单、易于操作的手术,极大地降低了手术风险和难度,并且大大提高了畸形矫正的效果。