拇外翻(足拇指外偏)孰称大脚骨,发生率高,临床表现主要为前足变宽、足拇趾外翻畸形、疼痛和足拇囊炎,足底胼胝形成。拇外翻一旦发生,不仅影响外观,由于其发病的“绞索机制”,症状和畸形程度随着年龄的增长会愈发加重。
与以往传统的手术方法不同,成形外科不需要大切口和内固定手术,用微创技术结合整形外科技术治疗拇外翻,通过使用独特的微动力鉆截工具和小切口(5mm-8mm)技术,在第一跖趾关节的关节囊内去除增生骨赘,并在关节囊内完成跖骨头部截骨移位和固定,矫正中重度拇外翻足的跖骨内翻畸形,一次性完成拇外翻矫正,手术创伤小、恢复快、并发症少、治疗效果好,手术在局部麻醉下进行,无痛苦,术后即刻可下地行走,恢复时间短。
由于拇外翻发病率高,严重影响生活和工作,从2006年开始拇外翻治疗已被纳入医疗保险范围。
联系医生: 成形科 毕洪森 副主任医师
门诊时间:星期一上午
联系电话:010-62017691转2877、3250;
手机:13391722976

手术前后外观

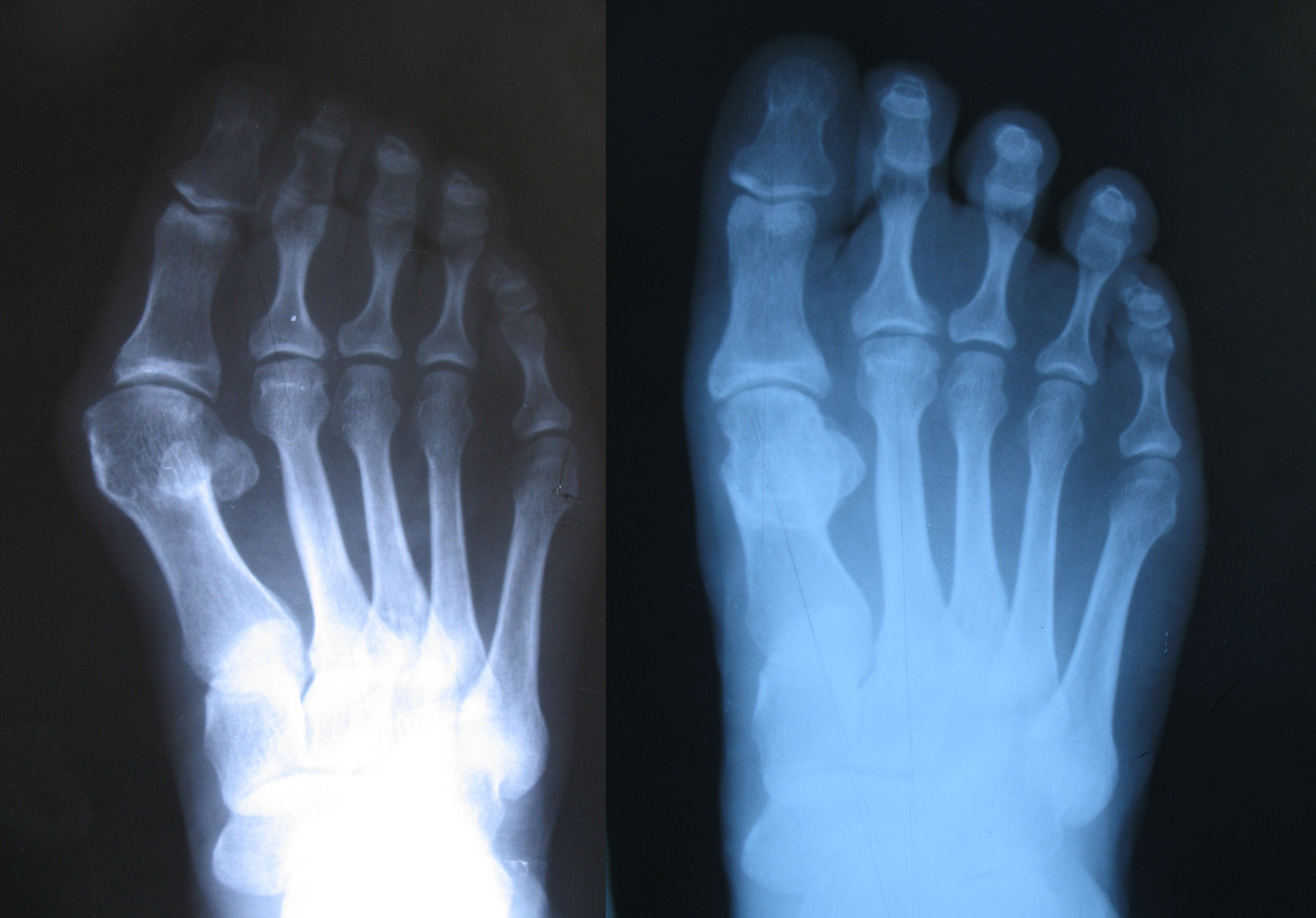
手术前后X线对比