离开西藏已经快一年多了,一年的援藏工作是人生难得的经历,虽然只是一年但是它在每一个援藏队员的心里都是无价的精神财富。
当初,在援藏之前,我就和当地消化科主任就交流过,我主要的工作是教会当地医生掌握ERCP技术,这对于一个胆石疾病高发的地区来说具有很大的实际意义。对于“组团式”医疗援藏有那么一句话——输血不如造血。我们援藏的医生在西藏做了什么并不重要,重要的是我们走了之后当地医生还能不能继续我们的工作,这才是援藏真正的目的和成果。

一年的时间,我在拉萨做了120例ERCP,带了两个当地的徒弟,他们在我走后继续在三院援藏专家,我们消化科李军副主任医师的帮助下提高和学习ERCP操作。现在都已经能独立完成比较常规的ERCP手术了,每当想到这些实实在在的成果,内心还是非常有成就感的。

我虽然离开了西藏,但是和当地医生的联系并没有中断。为了提高当地医生的ERCP水平,让相关科室的医生更好的掌握ERCP技术以及明确适应症禁忌症,完善术前讨论,在李军副主任医师的带领下,西藏自治区人民医院建立了由消化科、外科、影像科大夫组成的MDT讨论制度,每周一对第二天要进行手术的病人进行讨论。西藏自治区人民医院的扎西大夫还建立了一个ERCP微信群,相关科室的医生利用这个简单的微信群也可以对相关病人随时进行多科会诊。
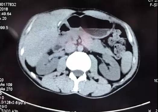
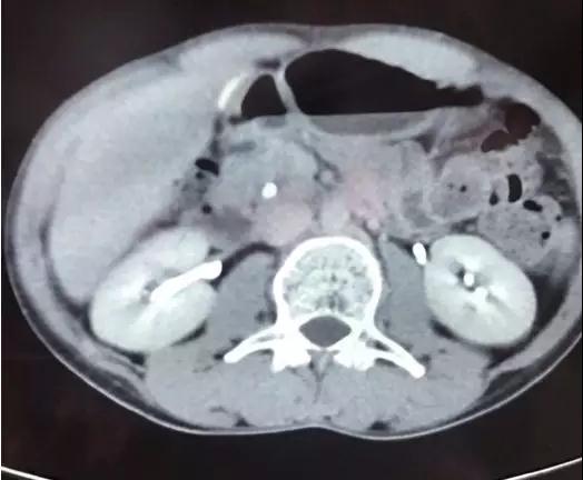
大约一个月前,扎西大夫在群里发了几张CT照片,这是一名反复发作胰腺炎的病人,当地的放射科诊断是“胆总管结石”。由于胆管结石导致的胆源性胰腺炎反复发作,当地大夫考虑第二天为病人做ERCP取石手术。


乍一看,片子上结石的位置好像是在胆管走行区域。但我盯着片子,仔细看过后发现:不是胆管结石,而是胰管结石。在胰头区域,胆管和胰管靠的很近,很容易看走眼。但正所谓“失之毫厘,谬之千里”,如果这个病人真的接受ERCP手术,按照胆管结石处理可就糟了!

我赶紧微信扎西大夫提醒他,几乎是同时,ERCP微信群里协和援藏的放射科刘炜大夫以及当地的放射科大夫也都提出了相同的意见。这是胰管结石,而且刘炜大夫还细心的在CT上画了图示进行标注。

很幸运,这名藏族小伙子在几位大夫的帮助下明确了诊断,避免了不必要的手术。
因为当地医院还没有能取胰管结石的技术和设备,扎西大夫联系我之后把病人送到了北京。病人到了北医三院之后很顺利的住进了消化科病房,接受了胰管结石的体外振波碎石,并由常虹主任医师进行了ERCP取石手术。术后小伙子恢复得很好,现在已经出院回家了。

援藏像一条线,把我们与当地医生、患者联系在一起,这个感觉,真好!