眼外伤为西藏自治区的多发疾病之一,起病急骤,多伴随感染,处理棘手,并发症多,致盲率高。如不及时治疗,可能会影响患者一生。
2021年9月的一个清晨, 藏族青年尼玛(化名)来到西藏自治区人民医院眼科就诊,当地医生首诊后推荐他找我治疗。在门诊见到我后,尼玛焦急地说:“韩医生,请您一定救救我的眼睛啊!”原来,尼玛在50天前,干农活时,不慎异物崩入右眼,继而眼睛红、痛、流泪,视力逐渐下降且伴随视物遮挡,情况越来越严重。“我不想自己年纪轻轻就失明,韩医生,听说您是北京来的,请您一定救救我!”
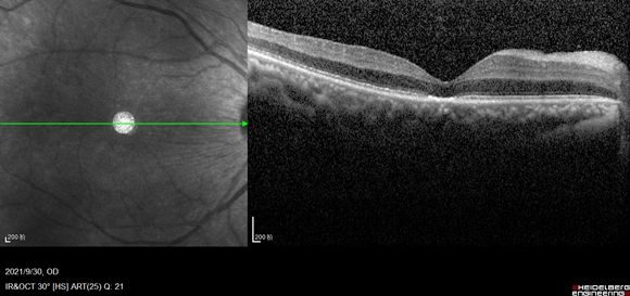
听完患者的讲述,我又给他做了检查,发现患者的右眼球内异物比较大,而且将视盘鼻侧的视网膜扎穿。由于球内异物在眼睛里的时间比较长,黄斑区也受到了累及,如果再发生感染的话,视力会受到不可逆影响。


右眼视力0.25 视乳头鼻侧见一片状铁锈色异物嵌入
尽快手术,取出异物是当务之急!
我身高接近190cm,身体素质也不错,但来到高原,却常常感觉身高成了一种负担,力不从心。手术前一 晚,我早早服用了一点安眠药,希望睡个好觉,第二天手术保持最好的状态。


我很快为患者安排了手术。手术中,既要把球内异物完整的拿出来,又要不伤及眼内其他正常结构。手术需要首先将玻璃体切除干净,然后用特制的异物钳将异物取出眼外。异物所处的位置就在视神经旁,已经扎穿了视网膜并嵌入脉络膜中,距离视盘不到0.5mm,稍微操作不慎不仅会导致脉络膜大出血,还会伤及视神经从而造成视功能不可逆的损伤。玻璃体切除手术整个过程我需要保持一个姿势不动,本来就比较累,更别提是在青藏高原上完成这个手术,对体力和毅力都是巨大的考验。想起尼玛对我说过的话,我定了定神,吸着氧气顺利完成手术,将长度为7mm的异物从眼内完整取出,晶体和视网膜都未受到额外扰动,患者眼内填充的空气经过1周吸收后,矫正视力达到0.6。
术后复诊时,尼玛之前视物遮挡的症状完全解除,激动不已,连声说“谢谢韩医生,谢谢韩医生!扎西德勒!扎西德勒!”

术中取出的球内异物


从我来援藏之后,西藏自治区人民医院现在已经成为自治区唯一可以常规开展玻璃体切割手术的医院,也已经救治了大量白内障患者及黄斑病变接受玻璃体腔药物注射术的患者。玻璃体切割技术的开展为眼外伤及其他眼科手术的实施,让西藏自治区人民医院眼科临床发展上了一个新台阶,为藏区广大眼底病患者带来了光明的希望。