团队名称:肠系膜上动脉夹层综合诊疗团队
牵头人科室:介入血管外科
牵头人:栾景源 主任医师
秘书:赵彦清
一、病种简介
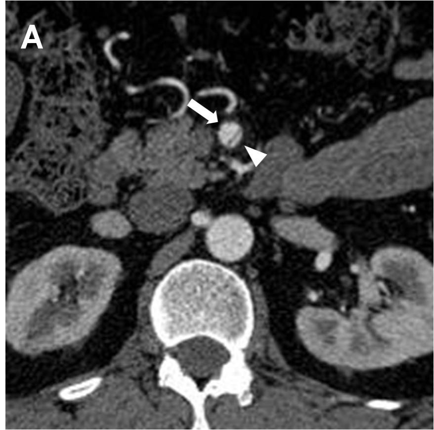
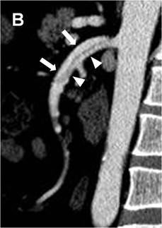
肠系膜上动脉夹层(Superior Mesenteric Artery Dissection, SMAD)可导致严重的肠缺血、肠坏死,是危及生命的急危重症。通常表现为急性剧烈腹痛,还可伴有呕吐、腹泻、便血等症状。好发于亚裔中年男性患者(平均年龄约51岁),病因尚不明确,可能与高血压、动脉粥样硬化、吸烟、酗酒、血管炎、暴饮暴食有关。


图示:肠系膜上动脉夹层(箭头所示)
二、团队简介
北医三院介入血管外科组建于2006年10月,在近20年的发展中,科室建设和学术发展日新月异,迸发出了蓬勃的生机与活力,走在了介入放射学和血管外科学融合发展的前列。介入血管外科目前包括周围血管病、肿瘤、大血管病、脑血管病、内脏血管、非血管疾病以及难治性伤口修复等多个专业治疗组。是国内专业建设最为全面的介入治疗与血管外科手术治疗相结合的科室。
我科自成立以来,在缺血性肠病、肠系膜动脉夹层等方面做了大量的临床与研究工作,发表相关核心期刊文章及SCI文章数篇,并提出Luan式肠系膜上动脉夹层影像学分型指导临床治疗。

图示:Luan式肠系膜上动脉夹层影像学分型
三、专家团队
1.介入血管外科:栾景源、冯琦琛、赵彦清
2.急诊科:葛洪霞
3.放射科:郎宁
4.超声诊断科:谭石
5.普通外科:孙涛
6.危重医学科:葛庆岗
7.消化科:张静
四、患者就诊罕见病诊疗团队需满足的条件
1.急性腹痛患者,完善腹部超声检查及腹盆部增强CT检查明确为肠系膜上动脉夹层。
2.部分SMAD患者度过急性期后,可表现为长期慢性腹痛,影响正常饮食及生活。
五、罕见病诊疗团队就诊流程
1.患者可在任一团队成员门诊就诊,医生根据病情启动会诊预约;患者亦可至会诊中心申请评估,预约会诊。会诊中心地点:门诊楼一层服务中心7号窗口,特需患者至健康医学中心楼0513会诊中心。
2.患者需要携带的检验检查资料:血常规、肝肾功、凝血常规、腹部超声、腹盆部增强CT
3.会诊中心工作人员核对、整理相关病历资料,并告知患者具体门诊的时间和地点。
4.诊疗团队联络人负责询问患者病史,采集相关资料并进行整理,并负责向门诊专家介绍病情,经多学科医师团队讨论后做出诊疗决策,向患者及家属反馈就诊结果。
附表:团队专家个人出诊信息
为方便患者更精确分诊,在不明确疾病诊断前,可先至团队专家门诊就诊,由专家预约罕见病诊疗团队会诊。团队专家个人出诊信息供参考,请以实际出停诊信息为准。
科室 | 姓名 | 专家职称 | 出诊时间 |
介入血管外科 | 栾景源 | 主任医师 | 周二上/周三下 |
介入血管外科 | 冯琦琛 | 副主任医师 | 周四下/周五上 |
普通外科 | 孙涛 | 主任医师 | 周一下/周二下/周三上/周日上 |
消化科 | 张静 | 主任医师 | 周一全天/周日上 |
介入血管外科 | 赵彦清 | 主治医师 | 周四下(机场) |