机器人辅助腹腔镜左侧腹膜后副神经节瘤切除术
术者:张洪宪、杨斌;编辑:郝一昌、王凯
一、病历摘要:
l 中年男性,37岁,体检发现腹膜后肿物1个月。
l 否认腰痛、头晕、头痛、心悸等不适。
l 既往高血压1月余,厄贝沙坦控制良好。2型糖尿病,口服二甲双胍控制可。
l 查体:无特殊。
l 实验室检查:
肾上腺素(E) 431.44pg/ml,去甲肾上腺素(NE)2870pg/ml,甲氧基肾上腺素(MN)507pg/ml(5倍正常值),甲氧基去甲肾上腺素(NMN)1419pg/ml(8.6倍正常值)。ACTH、皮质醇节律正常。
l 术前酚苄明扩容治疗4周。
二、影像资料:
l 腹膜后超声:腹膜后低回声结节,5.3*3.8cm,界清,血流信号稍丰富。结论:腹膜后实性结节,副节瘤?
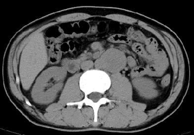
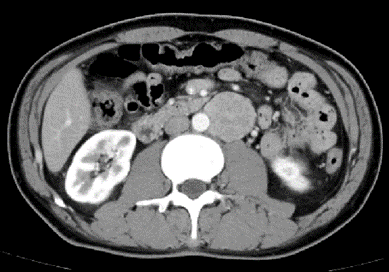
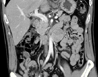
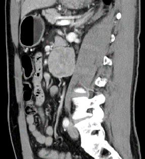
l CT:腹膜后腹主动脉旁软组织密度肿块,边界清,约4.2*4.3cm,密度不均,增强扫描皮髓质不均匀强化,实质期强化稍低,排泌期进一步减低。左肾2.0*2.3cm囊状低密度影。结论:左侧腹膜后占位,副神经节瘤?,左肾囊肿




三、初步诊断:
l 左侧腹膜后肿物,副神经节瘤可能性大
l 左肾囊肿
l 高血压3级(很高危组)
l 2型糖尿病
四、手术经过:
1、 患者右侧卧位,腰部垫高,向背侧倾斜30°。
2、 Trocar布局:
a) 脐上缘小切口,气腹针建立气腹;
b) 左侧腹直肌旁11肋缘穿刺8mm Trocar,为观察孔;
c) 左侧腹直肌旁肋缘下、髂棘内侧分别穿刺8mm Trocar;
d) 前正中线偏外侧脐上4cm、脐下6cm穿刺12mm Trocar。
3、 部分小肠与侧腹壁粘连,松解肠粘连,同时保护肠管。

4、 结肠脾曲上外侧切开后腹膜壁层,显露肾周筋膜前叶。继续游离发现肾脏与周围组织粘连紧密,分离困难。

5、 游离出肾脏下极后,向上顶起下极,发现输尿管,向上游离找到肾门血管。
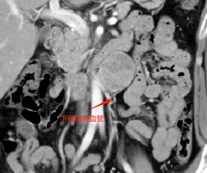
6、 肾门下方、输尿管内侧和腹主动脉旁探及本次腹膜后肿物,目测尺寸5*5.5cm。复习CT可见肿瘤与腹主动脉关系密切,明显增强提示其血供丰富。术前阅片发现,肠系膜上动脉主干因肿瘤推挤向左侧移位。完整剥离减少出血是本次手术的重难点。且周围靠近十二指肠,操作中注意保护。



7、 我们采取了“先游离外下侧,掀起肿瘤向内上侧推进”的策略小心游离肿瘤。在肿瘤下极发现供瘤血管,无明显搏动,考虑为静脉,hem-o-lok夹闭后切断。


8、 游离中发现肿瘤背侧、后外侧、上极均有多支腹主动脉发出的血管,分别hem-o-lok结合钛夹结扎、电凝后切断。操作中高度注意保护腹主动脉,游离上极时保护肾动静脉。同时游离时注意不要损伤十二指肠和胰腺,避免患者收到更大创伤,预防并发症。


9、 肿瘤血供丰富,且靠近血管,游离中易出血,轻柔操作,及时止血及助手配合负压吸除积血以保持清晰视野非常重要,助手弯钳辅助暴露。

10、 肿瘤后外侧与周围组织粘连紧密,游离中小动脉发生出血。双机械臂交替辅助暴露并压迫出血点,马里兰钳电凝止血。助手及时负压吸引积血,发现是第二支肿瘤后外侧滋养血管,hem-o-lok夹闭血管后,创面电凝,出血控制。


11、 标本完整游离后,充分暴露创面并确切止血。无活动性出血后填以可吸收纱布,留置引流。

五、术后病理:
l 大体:灰黄色结节一枚,5.4*4.5cm,切面棕黄色实性,局部切面灰粉质软,呈铁锈色,有包膜。


l 镜下:副神经节瘤,被膜厚薄不均,可见包膜侵犯,浸润神经层。
六、手术体会:
腹膜后肿瘤往往累及周围脏器和大血管,从而增加手术难度,甚至无法完整切除,导致术后复发较为常见。
其特点为:①腹膜后肿瘤虽然有完整的包膜,但是腹膜后间隙部位特殊、解剖结构复杂,为保全临近脏器结构,术中常常无法切除足够的安全边界;②肿瘤沿其周围间隙、淋巴管、血管向临近组织浸润,即使肉眼上完全切除也可能有肿瘤细胞的残留。
1. 术前仔细阅片的重要性:
本例诊断为副神经节瘤,其与肾上腺内嗜铬细胞瘤同来源于神经节组织,位于交感神经旁,腹膜后主动脉和下腔静脉旁较多见。副神经节瘤为功能性神经内分泌肿瘤,好发于30~50岁,占腹膜后肿瘤的1%~3%,多位于肾动脉至腹主动脉分叉水平的主动脉旁区域。副神经节瘤为富血供肿瘤,增强后明显强化,动脉期显著,可有多支血管同时供应,肿块周围或实性成分内可见迂曲增粗的肿瘤血管,提示完整切除肿瘤、同时避免出血为手术团队提出了很大挑战。
2. 肿瘤与血管关系密切,如何安全准备?
a) 术前细致的影像学评估,判断累及的器官及大血管走向,做到胸中有数。
b) 备好相应的血管手术器械以及血管移植物,首先解剖并控制血管,然后再根据无瘤原则切除,预防意外损伤及大出血。
c) 依血管累及的情况,做好血管的分离或联合切除,根据受累具体血管选择是否血管重建。
3. 手术团队的配合。
术者和助手的配合非常重要。对于富血供肿瘤,肿瘤可由多支血管供血形成血管网,同时可能侵犯腹主动脉、肾动静脉等大血管,游离过程中极易出血。且目前大多数机器人缺少触觉反馈,对解剖不熟悉的术者可能无意中挤压肿瘤导致血压升高,或误伤血管加重出血。
清晰的视野在止血时至关重要,助手需在不妨碍机械臂操作的前提下吸净积血以暴露出血点,术者行压迫或电凝止血。在另一助手孔,助手使用弯钳辅助暴露术野,如拨开结肠、网膜组织等,同时为术者操作提供一定张力。
4. 输尿管的保护。
1) 暴露腹膜后肿物前,先解剖出输尿管,确认其位置;
2) 游离肿物外侧时,使输尿管保持在视野内,反复确认输尿管位置,直视下操作。电凝止血时,机械臂将其拨开。
3) 必要时留置输尿管支架,预防术中损伤。
5. 嗜铬细胞瘤/副神经节瘤术前需严格行药物准备,且需要严格术前评估。
可用选择性α1-受体阻滞剂或非选择性α-受体阻滞剂控制血压,如治疗后血压未能控制,再加用钙通道阻滞剂。使用α-受体阻滞剂后,如患者发生心动过速,则加用β-受体阻滞剂。绝对不能在未用α-受体阻滞剂之前先用β-受体阻滞剂,以免发生急性心功能不全。α-甲基酪氨酸抑制CA合成,可与α-受体阻滞剂短期联合使用控制血压,并减少围手术期血流动力学波动(目前国内无此药)。此外,患者应摄入高钠饮食和增加液体摄入,补充血容量,防止肿瘤切除后引起严重低血压。术前准备充分的标准如下:
1) 血压和心率达标,有体位性低血压;一般认为,坐位血压应低于120/80 mmHg,立位收缩压高于90 mmHg;坐位心率为60~70次/min,立位心率为70~80次/min;可根据患者的年龄及合并的基础疾病做出适当调整;
2) 术前1周心电图无ST-T段改变,室性期前收缩<1次/5min;
3) 血管扩张,血容量恢复:红细胞压积降低,体重增加,肢端皮肤温暖,出汗减少,有鼻塞症状,微循环改善;
4) 高代谢症群及糖代谢异常得到改善。
七、参考文献:
1. 卢瞳, 居胜红. 腹膜后副神经节瘤的影像学诊断与鉴别诊断 [J] . 中华放射学杂志,2020,54 (10): 1033-1037. DOI: 10.3760/cma.j.cn112149-20200608-00789
2. Fishbein L. Pheochromocytoma and Paraganglioma : Genetics, Diagnosis, and Treatment[J]. Hematol Oncol Clin North Am, 2016, 30(1): 135-150.
3. Jacques W. M. Lenders; Graeme Eisenhofer.Update on Modern Management of Pheochromocytoma and Paraganglioma[J].Endocrinology and Metabolism,2017.
4. 嗜铬细胞瘤和副神经节瘤诊断治疗专家共识(2020版). 中华医学会内分泌学分会.中华内分泌代谢杂志, 2020,36(09) : 737-750. DOI: 10.3760/cma.j.cn311282-20200629-00482