机器人辅助腹腔镜左侧腹膜后肿物切除术
术者:张树栋、颜野、肖若陶、邢劲 编辑:王凯
一、病例信息:
l 中年女性,48岁,体检发现左侧腹膜后肿物2个月。
l 平素无恶心呕吐、腹痛腹胀、心悸、四肢无力麻木、血压升高、出汗等症状。
l 既往剖宫产术后20年,余无特殊。
l 查体:无异常。
l 实验室检查:儿茶酚胺及代谢产物检查:无异常。血清钾 4.53mmol/L,Cr 90umol/L。
l 为警惕功能性肿瘤可能,术前酚苄明预防性扩容10天。
二、影像资料:
l 腹膜后超声:腹膜后脊柱左侧一低回声包块,界清,内见无回声区及斑状强回声,未探及明显血流信号。
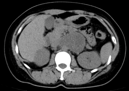
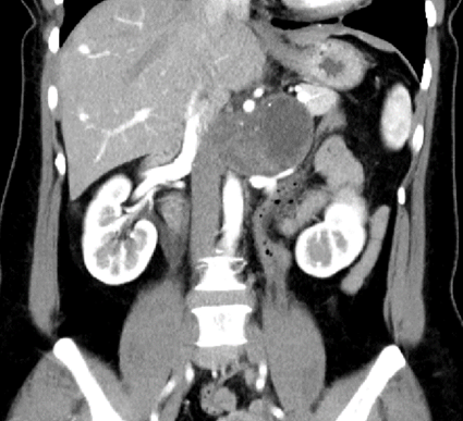
l CT:腹膜后偏左囊实性团块,边界清,增强实性部分不均匀轻中度强化,5.3*7.8*5.9cm,临近组织受推压。




三、初步诊断:
l 左侧腹膜后肿物,神经源性肿瘤可能性大,神经鞘瘤?;
l 剖宫产术后。
四、手术经过:
1. 病人右侧卧位,腰部垫高,向背侧倾斜30度。
2. Trocar穿刺布局:
a) 脐下方纵行做2cm切口,气腹针穿刺建立气腹。
b) 穿刺点左外上11肋水平腹直肌旁穿刺8mm Trocar,作为观察孔。
c) 同侧腹直肌旁肋缘下、髂棘内上方4cm分别穿刺8mm Trocar。
d) 脐部切口上方8cm和脐下2cm、8cm分别穿刺12mm Trocar。

3. 探查腹腔见肠管广泛粘连,仔细松解肠粘连,肠管血运良好。
4. 于结肠脾曲上外侧Toldt线切开后腹膜壁层,分别切断脾结肠韧带、膈结肠韧带和脾肾韧带,向内下方推动结肠,暴露左肾周筋膜前叶。


5. 打开肾周筋膜,肾区无明显异常,完全游离肾脏上、中极,发现肾脏周围组织粘连紧密,分离困难。
6. 暴露肿瘤:肾静脉下方、腹主动脉表面和肠系膜上动脉夹角处见到肿物,约6*6cm,侧支循环丰富,与周围组织粘连紧密,分离困难,且过程中易出血(肿瘤左外侧近肾静脉处可见与血管关系密切且粘连),联合压迫、Hem-o-lok夹闭及血管线缝扎止血。



7. 分离顺序:上极→内侧→下极→外侧→向中心。肿瘤上极见多支穿支血管进入肿瘤,其中包括一支粗大血管进入肾脏,复习术前影像,考虑可能为挤压变形的肾动脉,遂保留。





8. 肿瘤内侧紧贴腹主动脉,注意轻柔小心操作。肿瘤后方中心与肾静脉粘连紧密,侵犯可能,分离过程中肾静脉可见破口出血,血液涌出,压迫出血点吸净积血后,用血管阻断夹夹闭肾静脉。


9. 锐性分离肾静脉及肿瘤,肝素冲洗肾静脉管腔。4-0 Prolene线缝合肾静脉破口,松开阻断夹后出血停止。


10. 完整切除肿物,装入标本袋,扩大切口取出标本。探查创面无明显活动出血,可见肿瘤位置在十二指肠、肾静脉之间,移除后关系更能一目了然(如上图)。创面填止血纱,留置引流。
五、术后病理:
l 灰褐色结节1枚,6.5*5*5cm,有包膜,切面囊实样,实性区域切面灰黄褐实性质中,囊腔最大径3.5cm,内壁光滑,壁厚0.1~0.2cm。
l 诊断:神经鞘瘤,伴变性、出血及囊性变。免疫组化:S-100(+),SOX10(+),H3K27Me3(+)。
六、手术体会:
1. 腹膜后神经鞘瘤临床特点及诊疗要点:
神经鞘瘤是一种较为少见的良性肿瘤,1932年被 Masson 确认为来源于神经鞘施旺细胞。神经鞘瘤可能发生在头、颈及四肢等,位于腹膜后仅占2.6%。腹膜后神经鞘瘤呈实性或囊实性,为有包膜的良性肿瘤,常位于椎旁、骶前区,一般无症状,隐匿症状的腹膜后神经鞘瘤约占47.7%~66.6%。
神经鞘瘤的术前诊断依赖影像学表现。超声检查有其优势,由于腹膜后的肿瘤通常不会发生囊性变,因此如果能见到囊性的半固半液区可做出较为确定的诊断。由于神经鞘瘤以良性为主,生长较为缓慢,加之腹膜后空间较大、延展性极佳、缺少痛觉传导,因此这个部位的神经鞘瘤在被发现时往往体积较大。
全麻下机器人或传统腹腔镜手术是神经鞘瘤的首选治疗方案,当肿瘤较大时则建议选择开放式手术。 应尽可能对神经鞘瘤施行根治性切除。但是由于腹膜后神经鞘瘤存在体积较大、与神经相伴而行、与周围脏器位置关系紧密等原因,有学者建议不必过于追求根治程度,也可对肿瘤进行部分切除术或者剜除术。有研究显示,行部分切除者 未见残存肿瘤发生恶变。 神经鞘瘤一般预后良好,文献报道的良性神经鞘瘤复发率为 1% ~ 3% ;影响复发的因素可能是肿瘤大小与根治程度。
2. 肿瘤与血管关系密切,如何安全准备?
a) 术前细致的影像学评估,判断累及的器官及大血管走向,做到胸中有数。本例虽为神经鞘瘤,增强CT强化不明显 ,但较大肿瘤压迫导致回流不佳形成较多侧支循环,分离时应轻柔精细操作,及时电凝、夹闭或缝扎血管减少出血。肿瘤占位作用也导致正常血管移位(例如上极的肾动脉、肿瘤前上方的肠系膜上动脉),需严格保护。术前需反复阅片。
b) 备好相应的血管手术器械以及血管移植物,首先解剖并控制血管,然后再根据无瘤原则切除,预防意外损伤及大出血。
c) 依血管累及的情况,做好血管的分离或联合切除,根据受累具体血管选择是否血管重建。
七、参考文献:
1. CHANG Xiao, SHEN Dan, NIAN Xinwen, REN Shancheng, ZHANG Zhensheng, HOU Jianguo, SUN Yinghao. Clinical analysis of 84 cases with retroperitoneal schwannomas[J]. ACADEMIC JOURNAL OF CHINESE PLA MEDICAL SCHOOL, 2016, 37(9): 952-955. DOI: 10.3969/j.issn.2095-5227.2016.09.009
2. Vijayan SK, Shetty S, Bhat SR, et al. Retroperitoneal schwannoma : an atypical presentation[J]. J Clin Diagn Res, 2014, 8(10): ND22-ND23.
3. 崔慧鹏,李沛雨,卢灿荣,等.原发性腹膜后神经鞘瘤 109 例 临床诊治分析[J]. 中华医学杂志,2015,95(22):1755-1758.
4. 中华医学会,中华医学会肿瘤学分会,中华医学会杂志社,等. 中国腹膜后肿瘤诊治专家共识(2019版)[J]. 中华肿瘤杂志,2019,41(10):728-733. DOI:10.3760/cma.j.issn.0253-3766.2019.10.002