院内办公OA登录
|
北京市卫生健康委员会
|
帮助
|
English
首页
医院概况
医院概况
医院简介
院士介绍
现任领导
历任领导
院务公开
重点学科
方位指引
美丽三院
新闻中心
新闻中心
三院要闻
最新医讯
媒体聚焦
三院融媒
三院院报
健康科普
专题报道
热点公告
医疗服务
医疗服务
预约挂号
门诊安排
就医须知
护理天地
出院服务
体检服务
医保服务
咨询投诉
便民服务
社区转诊
医院资源
医院规章
综合查询
综合查询
出停诊信息
专家介绍
药品查询
自助预测
检验查询
检查查询
费用查询
医疗服务价格查询
医疗耗材价格查询
医生资格查询
护士资格查询
科室特色
科室特色
内科系统
外科系统
医技科室
职能处室
分院区
教育教学
科学研究
科学研究
科研快讯
科研成果
通知公告
医院研究机构
知识产权
下载专区
联系我们
相关链接
科研管理系统
医学创新研究院
科研伦理管理系统
医院文化
医院文化
院歌院徽院训
医院宣传片
人文三院
廉政建设
活力三院
老年友善
社会责任
院图书馆
综合服务
综合服务
网站地图
友情链接
首页
医院概况
医院概况
医院简介
院士介绍
现任领导
历任领导
院务公开
重点学科
方位指引
美丽三院
新闻中心
新闻中心
三院要闻
最新医讯
媒体聚焦
三院融媒
三院院报
健康科普
专题报道
热点公告
医疗服务
医疗服务
预约挂号
门诊安排
就医须知
护理天地
出院服务
体检服务
医保服务
咨询投诉
便民服务
社区转诊
医院资源
医院规章
综合查询
综合查询
出停诊信息
专家介绍
药品查询
自助预测
检验查询
检查查询
费用查询
医疗服务价格查询
医疗耗材价格查询
医生资格查询
护士资格查询
科室特色
科室特色
内科系统
外科系统
医技科室
职能处室
分院区
教育教学
科学研究
科学研究
科研快讯
科研成果
通知公告
医院研究机构
知识产权
下载专区
联系我们
相关链接
科研管理系统
医学创新研究院
科研伦理管理系统
医院文化
医院文化
院歌院徽院训
医院宣传片
人文三院
廉政建设
活力三院
老年友善
社会责任
院图书馆
综合服务
综合服务
网站地图
友情链接
EN
院内办公OA登录
|
北京市卫生健康委员会
|
帮助
首页
医院概况
医院简介
院士介绍
现任领导
历任领导
院务公开
重点学科
方位指引
美丽三院
新闻中心
三院要闻
最新医讯
媒体聚焦
三院融媒
三院院报
健康科普
专题报道
热点公告
医疗服务
预约挂号
门诊安排
就医须知
护理天地
出院服务
体检服务
医保服务
咨询投诉
便民服务
社区转诊
医院资源
医院规章
综合查询
出停诊信息
专家介绍
药品查询
自助预测
检验查询
检查查询
费用查询
医疗服务价格查询
医疗耗材价格查询
医生资格查询
护士资格查询
科室特色
内科系统
外科系统
医技科室
职能处室
分院区
教育教学
科学研究
科研快讯
科研成果
通知公告
医院研究机构
知识产权
下载专区
联系我们
相关链接
科研管理系统
医学创新研究院
科研伦理管理系统
医院文化
院歌院徽院训
医院宣传片
人文三院
廉政建设
活力三院
老年友善
社会责任
院图书馆
综合服务
网站地图
友情链接
×
新闻中心
当前位置:
首页
>
新闻中心
>
最新医讯
三院要闻
最新医讯
媒体聚焦
三院融媒
三院院报
健康科普
专题报道
热点公告
新闻中心
三院要闻
最新医讯
媒体聚焦
三院融媒
三院院报
健康科普
专题报道
热点公告
2019.05.30
有效评估疑难人工耳蜗植入,电刺激听觉诱发电位来帮忙【2018 技术创新三等奖】
我们常说,医学是有局限性的,但追求科学进步的脚步却永不停歇。2018年,北医三院又有一批新的医疗技术,经过严格的审批和长期观察,转为常规技术普及应用。新技术带来新的希望,让我们来看看这些技术都有哪些吧~ 项...
2019.05.22
18岁清华学子心脏骤停后第4天苏醒 | 宿舍同学、120、北医三院三方接力从死神手中夺回他的生命
日前,一名风华正茂的清华大学生在寝室发生心脏骤停,在宿舍同学、120急救人员和北医三院急诊科医护人员的接力下,脱离生命危险。 5月7日下午,18岁的清华大学生赵峰(化名)下课后与同学们回到宿舍,开始了自己的休...
2019.05.10
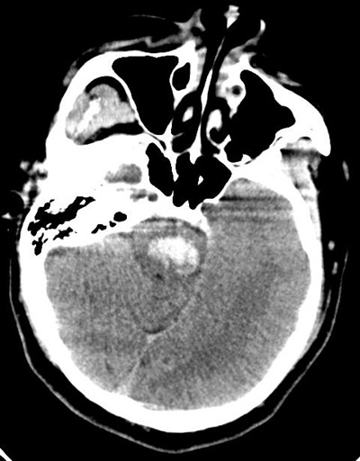
术后20天,脑干出血患者可以站起来,出院了
5月6日,20天前因脑干出血就诊北医三院的患者程先生,可以站起来,出院了。 2019年4月16日中午,行色匆匆的神经外科副主任医师孙建军赶到急诊抢救室,会诊一位脑干出血的患者。这位41岁的男性患者已经昏迷、偏瘫、生...
2019.05.07
我院多科联合成功救治一位自吞多种异物患者
五一前夕,我院急诊科、耳鼻喉科、消化科、放射科、麻醉科、胸外科等多科室密切配合,成功救治一位自吞刀片、针管等多种异物患者。 患者张女士,饮酒后自吞刀片、针管等异物。因胸疼伴恶心,于4月30日凌晨4点半左右来...
2019.04.30
易伪装的早期皮肤癌与皮肤镜检查 | 担心额头那个“黑痣”有问题,她来到北医三院皮肤科……【2018 技术创新三等奖】
我们常说,医学是有局限性的,但追求科学进步的脚步却永不停歇。2018年,北医三院又有一批新的医疗技术,经过严格的审批和长期观察,转为常规技术普及应用。新技术带来新的希望,让我们来看看这些技术都有哪些吧~ 项...
2019.04.30
直视立体的心脏——实时三维超声心动图来帮忙【2018 技术创新三等奖】
我们常说,医学是有局限性的,但追求科学进步的脚步却永不停歇。2018年,北医三院又有一批新的医疗技术,经过严格的审批和长期观察,转为常规技术普及应用。新技术带来新的希望,让我们来看看这些技术都有哪些吧~ 项...
2019.04.29
普通外科鲨鱼嘴式胰肠吻合新术式避免胰十二指肠切除术后发生胰漏
82岁的李奶奶,四世同堂,尽享天伦,过着安详的日子。然而半年前,李奶奶出现了乏力、消瘦,并逐渐出现了黄疸,这让家里人慌了手脚,赶忙让李奶奶在当地住院检查。 检查之后发现是十二指肠乳头长了恶性肿瘤导致了胆道...
2019.04.02
心脏外科完成我院首例全胸腹主动脉置换手术
2019年2月25日,心脏外科完成了我院首例分期全胸腹主动脉置换手术。 心脏外科患者周某只有21岁,是一名重点大学的临近毕业的学生,学习优异的小周已经通过了专业英语八级考试,多次获得学校奖学金。然而,一个异常残...
首页
上页
1
...
15
16
17
18
19
...
57
下页
尾页
第
/57页
跳转