2025年5月27日,北京大学第三医院骨科关节外科主任田华教授主刀,为一名69岁的髋关节骨性关节炎、髋关节发育不良患者施行了全国首例Mako 智慧机器人Total Hip 4.0全流程模式辅助髋关节置换术。
在Total Hip 4.0全流程模式辅助下,田华教授为患者选择了合适的假体型号,并进行了假体精准安放,在不同体位下模拟了髋关节的各向运动,避免了撞击,获得了非常满意的髋关节活动度和稳定性。手术仅用时40余分钟,出血量不足100ml。
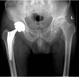
患者术前X线片
(本次计划左髋关节置换)▼


田华主任术中照片(左2)▲

Total Hip 4.0术前规划

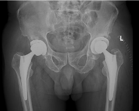
患者术后X线片(本次左髋关节置换)
患者术后影像学结果显示,假体的大小、位置、角度、肢体长度和偏心距等指标均非常理想,且与术前计划高度一致。术日当晚,患者即可下地活动,无明显疼痛,患者满意度极高。
髋关节置换术是治疗骨关节炎、股骨头坏死等终末期髋关节疾病的有效手段。传统手工THA手术的术前规划以X线片为基础,而由于X线为重叠影像、放大误差率、易受体位影响等,导致其术前规划准确率差强人意。Mako智慧关节机器人可在术前进行个体化的建模、数字化的测量,测算出精准的人工关节尺寸,并在手术中通过机械臂来指导和协助医生进行精准的手术操作,假体位置及角度精度分别不超过1mm和1°,高精度的术中导航及辅助手术功能带来的是手术质量的大大提升,改变了传统手术中完全需要依靠术者的经验和估算来进行操作的问题,避免了传统手术带来的偏差。这种精准化、智能化的手术技术,不但为医生带来了便利,也大大降低了患者术后发生双下肢不等长、关节脱位等并发症的风险,同时可以加快康复速度、提升假体使用寿命。

患者不同体位下髋关节撞击模拟(红色为撞击位置)

术中便捷注册及验证
此次升级的Mako Total Hip 4.0优化显著,在骨盆矫正方面,术者可选择更接近关节线的参考线,依新轴线计算病人术前双下肢腿长长度、联合偏心距和髋臼杯外展角度;在原有的优势基础之上,个性化考虑病人在站位、坐位以及卧位等不同体位,如骨盆倾斜角度变化,并新增虚拟运动范围模型,模拟术后发生撞击的可能,更好规划患者植入物位置、角度和型号,指导术中清理骨赘,以减小术后撞击率、关节脱位率;术中的股骨颈截骨视图和数字标尺能呈现出与手术视野相似的图示和指示线精准标定,可进一步确保截骨准确;同时其允许更为便捷的髋臼侧注册和验证方式,进一步提高了手术效率。
北医三院骨科关节外科长期致力于推动人工关节置换术的精准化、数字化和智能化发展,先后将计算机导航(2011年)、3D打印患者个性化截骨导板(2013年)、3D打印定制化膝关节翻修假体(2016年)、压力垫片(2018年)和智慧关节机器人(2019年)应用于临床,并取得了良好的临床效果。未来,北医三院骨科关节外科也会继续引领数字化关节外科技术的发展,为更多的患者带来更为优质的医疗服务。